共1页/7条首页上一页1下一页尾页
回复:7 阅读:1686
组织细胞也疯狂!小伙伴们看完都惊呆了! (来自网络转帖)

木蚂蚁 离线

帖子:764
粉蓝豆:2527
经验:1555
注册时间:2010-01-12
加关注  |  发消息
楼主 发表于 2015-05-08 18:21|举报|关注(1)
浏览排序[ 顺序 逆序 楼主 支持 精彩 ]  快捷回复

 

组织细胞也疯狂!小伙伴们看完都惊呆了!


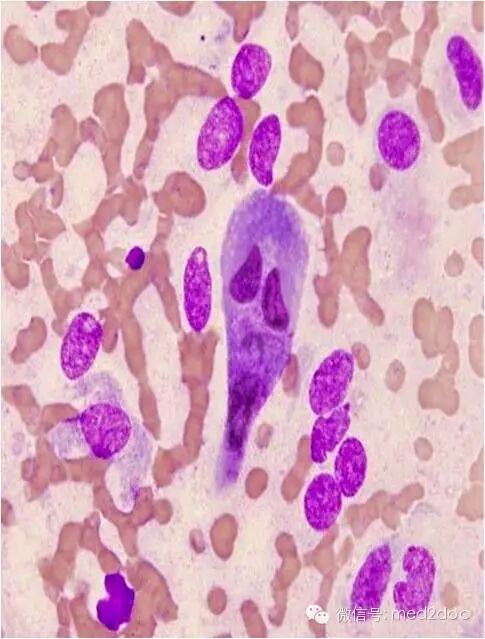
1.这不是远古走来的暴龙?其实是子宫内膜!


2.这不是姜子牙骑过的麋鹿吗?


3.梦里莲花?



4.这不是乔布斯血液中的苹果?iBlood!



5.海洋之星坠落在血液中!



6.蒙克的《呐喊》?




7.音符飘过~




8.强颜欢笑?




9.爱好和平?


10.咋整的?怎么全是英文字母!



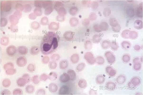
11.细菌哪去?白细胞跟你"死磕"


标签:组织细胞 网络
0
signature
学然后知不足

飞龙 离线

帖子:1486
粉蓝豆:16
经验:1597
注册时间:2013-12-07
加关注  |  发消息
7 楼    发表于2015-05-10 05:11:00举报|引用
返回顶部 | 快捷回复

0
回复
signature
飞龙

怡然居士 离线

帖子:2962
粉蓝豆:1488
经验:4611
注册时间:2011-10-04
加关注  |  发消息
6 楼    发表于2015-05-09 17:10:36举报|引用
返回顶部 | 快捷回复
引用 1 楼 琴山 在 2015-05-08 21:59:50 的发言:

我也是服了you。。

彻底服了!

0
回复
signature
淡定从容

金易龙 离线

帖子:14679
粉蓝豆:45
经验:17262
注册时间:2012-02-28
加关注  |  发消息
5 楼    发表于2015-05-09 10:55:06举报|引用
返回顶部 | 快捷回复

 我只看看,不说话——完全彻底惊呆伴惊悚!

0
回复
signature

经典再现


巴山夜雨涨秋池 离线

帖子:12152
粉蓝豆:77
经验:12941
注册时间:2009-01-25
加关注  |  发消息
4 楼    发表于2015-05-09 09:01:04举报|引用
返回顶部 | 快捷回复

 四个字一个标点:

 

 

彻底惊呆!

 

 

 

 

五个字一个标点:

 

 

并且还惊悚!

0
回复
signature

body>h1>span>...................This signature is very handsome.

xg120 离线

帖子:12586
粉蓝豆:1205
经验:15200
注册时间:2011-10-14
加关注  |  发消息
3 楼    发表于2015-05-09 08:47:03举报|引用
返回顶部 | 快捷回复

 

0
回复
signature
尚泽忠

wangruihui 离线

帖子:7461
粉蓝豆:876
经验:32550
注册时间:2008-01-11
加关注  |  发消息
2 楼    发表于2015-05-09 08:11:46举报|引用
返回顶部 | 快捷回复

 

0
回复

琴山 离线

帖子:857
粉蓝豆:18
经验:941
注册时间:2008-06-06
加关注  |  发消息
1 楼    发表于2015-05-08 21:59:50举报|引用
返回顶部 | 快捷回复

我也是服了you。。

0
回复
signature
笑对人生:可以是微笑,大笑,傻笑,苦笑;不要是奸笑,冷笑,谄笑,皮笑肉不笑!
回复:7 阅读:1686
共1页/7条首页上一页1下一页尾页
【免责声明】讨论内容仅作学术交流之用,不作为诊疗依据,由此而引起的法律问题作者及本站不承担任何责任。
快速回复
进入高级回复
您最多可输入10000个汉字,按 "Ctrl" + "Enter" 直接发送
搜索回复/乘电梯 ×
按内容
按会员
乘电梯
合作伙伴
友情链接
Baidu
map