| 图片: | |
|---|---|
| 名称: | |
| 描述: | |
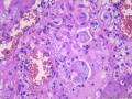
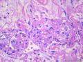
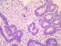
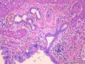
| 性别 | 女 | 年龄 | 44岁 | 临床诊断 | .胆总管下段结石并急性胆管炎 2.急性胆源性胰腺炎 3急性胆囊炎。 |
|---|---|---|---|---|---|
| 一般病史 | 上腹疼痛伴反复呕吐7天。血生化:ALT 268.0U/L,AST 157.0U/L,TBIL 64.3umol/L,DBIL 20.9umol/L,血糖:4.6mmol/L、血淀粉酶:3197.0u/L.腹部彩超示:胆总管上段结石并扩张。胰腺回声稍增粗声像。胆囊壁强回声实体物声像(考虑胆囊息肉)。 | ||||
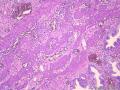
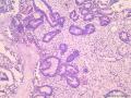
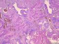
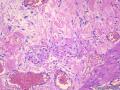
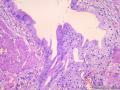
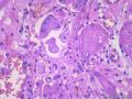
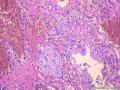
| 标本名称 | 胆囊 | ||||
| 大体所见 | 灰绿、暗红色胆囊一枚,临床已局部剖开,大小:10x1-3.5x1.2cm。颈管开口直径0.4cm。囊内见胆汁,未见结石,近胆囊底部见长径0.1-0.4cm灰黄色息肉2枚,壁厚0.3-0.5cm,粘膜面粗糙似草莓状。 | ||||
