共1页/4条首页上一页1下一页尾页
回复:4 阅读:855
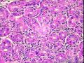
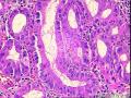
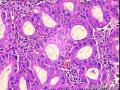
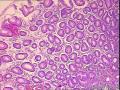
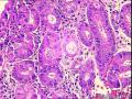
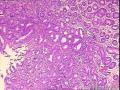
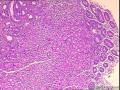
胃窦活检

ghost 离线

帖子:404
粉蓝豆:33
经验:860
注册时间:2013-01-15
加关注  |  发消息
楼主 发表于 2015-11-20 16:05|举报|关注(0)
浏览排序[ 顺序 逆序 楼主 支持 精彩 ]  快捷回复
性别年龄47临床诊断胃炎
一般病史胃炎
标本名称胃窦活检
大体所见灰白色小米粒大组织2点。

  • 胃窦活检图1
    图1
  • 胃窦活检图2
    图2
  • 胃窦活检图3
    图3
  • 胃窦活检图4
    图4
  • 胃窦活检图5
    图5
  • 胃窦活检图6
    图6
  • 胃窦活检图7
    图7
  • 胃窦活检图8
    图8
  • 胃窦活检图9
    图9
  • 胃窦活检图10
    图10
  • 胃窦活检图11
    图11
  • 胃窦活检图12
    图12
  • 胃窦活检图13
    图13
  • 胃窦活检图14
    图14
  • 胃窦活检图15
    图15
  • 胃窦活检图16
    图16
  • 胃窦活检图17
    图17
  • 胃窦活检图18
    图18
  • 胃窦活检图19
    图19
  • 胃窦活检图20
    图20

 

标签:
0
添加参考诊断
×参考诊断
  

邵长景 离线

帖子:31105
粉蓝豆:483
经验:31883
注册时间:2013-01-03
加关注  |  发消息
1 楼    发表于2015-11-20 16:15:29举报|引用
返回顶部 | 快捷回复

 胃窦黏膜慢性炎

2

lcyxxm

蝴蝶兰da..
回复
signature
邵长景

Lilin 离线

帖子:1161
粉蓝豆:1051
经验:3618
注册时间:2013-09-23
加关注  |  发消息
2 楼    发表于2015-11-20 16:34:31举报|引用
返回顶部 | 快捷回复

 图片14 深切.

胃慢性炎

0
回复
signature

min wang

lingjiejie 离线

帖子:1545
粉蓝豆:506
经验:2260
注册时间:2013-01-09
加关注  |  发消息
3 楼    发表于2015-11-23 10:14:49举报|引用
返回顶部 | 快捷回复

 未见病变

0
回复
signature
一天一点进步

goodli 离线

帖子:588
粉蓝豆:69
经验:797
注册时间:2012-08-01
加关注  |  发消息
4 楼    发表于2015-11-23 10:49:01举报|引用
返回顶部 | 快捷回复

 胃窦粘膜慢性炎症伴部分腺体轻度不典型增生

0
回复
signature
付出不一定有收获,但没有付出就不可能有收获。
回复:4 阅读:855
共1页/4条首页上一页1下一页尾页
【免责声明】讨论内容仅作学术交流之用,不作为诊疗依据,由此而引起的法律问题作者及本站不承担任何责任。
快速回复
进入高级回复
您最多可输入10000个汉字,按 "Ctrl" + "Enter" 直接发送
搜索回复/乘电梯 ×
按内容
按会员
乘电梯
合作伙伴
友情链接
Baidu
map