共1页/5条首页上一页1下一页尾页
回复:7 阅读:2019
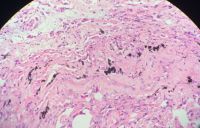
有人知道片子中的为何种异物?

andelionDD 离线

帖子:17
粉蓝豆:17
经验:25
注册时间:2014-06-10
加关注  |  发消息
楼主 发表于 2016-08-24 14:39|举报|关注(0)
浏览排序[ 顺序 逆序 楼主 支持 精彩 ]  快捷回复
常规片子与免疫组化是两个病例!异物颜色也不一样
  • 图1
  • 图2
标签:
0
signature

6年的全国医院病理科技术培训经验,希望能与大家继续研究其中乐趣!

添加参考诊断
×参考诊断
  

似水年华 离线

帖子:4785
粉蓝豆:1224
经验:7481
注册时间:2011-03-23
加关注  |  发消息
1 楼    发表于2016-08-24 15:00:50举报|引用
返回顶部 | 快捷回复

 

0
回复
signature
人生就像一场旅行,不必在乎目的地,在乎的是沿途的风景以及看风景的心情,让心灵去旅行。

gongguoliang 离线

帖子:358
粉蓝豆:56
经验:443
注册时间:2009-11-18
加关注  |  发消息
2 楼    发表于2016-08-24 15:35:09举报|引用
返回顶部 | 快捷回复

 这不是苏木素吗?


0
收起回复
  • andelionDD:  我也觉得是苏木素沉渣,可是换了另外一家医院染色,还是有
    2016-08-24 17:33

成 克 伦 离线

帖子:5085
粉蓝豆:17
经验:5232
注册时间:2014-03-11
加关注  |  发消息
3 楼    发表于2016-08-24 21:41:58举报|引用
返回顶部 | 快捷回复

苏木沉淀物,过滤。

0
回复

蝴蝶兰dali2003 离线

帖子:11488
粉蓝豆:2441
经验:12053
注册时间:2009-09-06
加关注  |  发消息
4 楼    发表于2016-08-24 22:25:01举报|引用
返回顶部 | 快捷回复

 先把染料过滤了看看还有没有,

另,标本固定的时间要是长了需水洗干净,否则会有福尔马林色素,图1就很像。

1

秋枫藻
收起回复
signature
相逢是首歌,同行是你和我。

13665739349 离线

帖子:7
粉蓝豆:18
经验:9
注册时间:2014-03-24
加关注  |  发消息
5 楼    发表于2016-08-25 15:15:31举报|引用
返回顶部 | 快捷回复
这个是苏木素的沉淀,过滤一下应该就可以了!
0
回复
回复:7 阅读:2019
共1页/5条首页上一页1下一页尾页
【免责声明】讨论内容仅作学术交流之用,不作为诊疗依据,由此而引起的法律问题作者及本站不承担任何责任。
快速回复
进入高级回复
您最多可输入10000个汉字,按 "Ctrl" + "Enter" 直接发送
搜索回复/乘电梯 ×
按内容
按会员
乘电梯
合作伙伴
友情链接
Baidu
map