共1页/10条首页上一页1下一页尾页
回复:10 阅读:1749
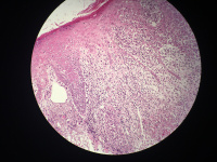
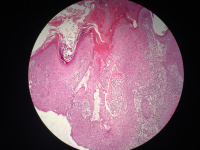
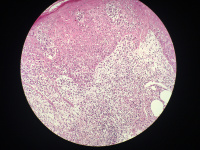
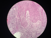
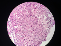
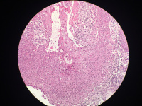
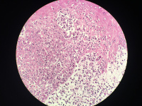
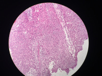
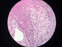
女性,鼻背部肿物3年,活检直径0.5厘米,

qiaoqiao 离线

帖子:4186
粉蓝豆:143
经验:6715
注册时间:2011-08-04
加关注  |  发消息
楼主 发表于 2016-12-27 22:18|举报|关注(2)
浏览排序[ 顺序 逆序 楼主 支持 精彩 ]  快捷回复
  • 图1
  • 图2
  • 图3
  • 图4
  • 图5
  • 图6
  • 图7
  • 图8
  • 图9
  • 图10
  • 图11
  • 图12
  • 图13
标签:
0
signature
天生我才必我用
添加参考诊断
×参考诊断
  

luning 离线

帖子:856
粉蓝豆:383
经验:856
注册时间:2016-07-27
加关注  |  发消息
1 楼    发表于2016-12-28 05:01:47举报|引用
来自iPhone 返回顶部 | 快捷回复
考虑皮肤鲍温病
0
回复

挪亚方舟 离线

帖子:153
粉蓝豆:50
经验:153
注册时间:2016-11-09
加关注  |  发消息
2 楼    发表于2016-12-28 07:42:54举报|引用
来自Android 返回顶部 | 快捷回复
老年疣
1

lanyue
回复

471599610@qq.com 离线

帖子:50
粉蓝豆:1115
经验:89
注册时间:2014-03-24
加关注  |  发消息
3 楼    发表于2016-12-28 07:59:18举报|引用
返回顶部 | 快捷回复

 刺激性脂溢性角化病

3

邵长景

师傅先上

zq24jm
回复

小玉 离线

帖子:1609
粉蓝豆:41
经验:2407
注册时间:2009-04-17
加关注  |  发消息
4 楼    发表于2016-12-28 09:28:58举报|引用
返回顶部 | 快捷回复

 老年疣

0
回复

杨成华 离线

帖子:6273
粉蓝豆:261
经验:7141
注册时间:2014-12-16
加关注  |  发消息
5 楼    发表于2016-12-28 10:00:41举报|引用
返回顶部 | 快捷回复

 高分化鳞癌

0
回复

zlq1971 离线

帖子:251
粉蓝豆:441
经验:389
注册时间:2015-03-24
加关注  |  发消息
6 楼    发表于2016-12-28 10:06:49举报|引用
返回顶部 | 快捷回复

 考虑鲍温氏病。

0
回复

箫箫笛 离线

帖子:1286
粉蓝豆:63
经验:2296
注册时间:2006-11-01
加关注  |  发消息
7 楼    发表于2016-12-28 13:18:15举报|引用
返回顶部 | 快捷回复

 反转性毛囊角化病

0
回复

上下求索 离线

帖子:321
粉蓝豆:18
经验:1754
注册时间:2013-06-04
加关注  |  发消息
8 楼    发表于2016-12-28 15:08:49举报|引用
返回顶部 | 快捷回复

 像良性的,老年疣或者鳞状上皮上皮脚下延,担心的话带上鳞状上皮增生较活跃,随诊?

1

bkp2008
回复

师傅先上 离线

帖子:351
粉蓝豆:6
经验:519
注册时间:2013-12-21
加关注  |  发消息
9 楼    发表于2016-12-28 22:30:54举报|引用
返回顶部 | 快捷回复

 激惹型脂溢性角化病。

0
回复

wzxblk 离线

帖子:347
粉蓝豆:1080
经验:578
注册时间:2012-06-04
加关注  |  发消息
10 楼    发表于2016-12-29 04:41:07举报|引用
来自Android 返回顶部 | 快捷回复
日光性角化病
0
回复
signature

李宝江

回复:10 阅读:1749
共1页/10条首页上一页1下一页尾页
【免责声明】讨论内容仅作学术交流之用,不作为诊疗依据,由此而引起的法律问题作者及本站不承担任何责任。
快速回复
进入高级回复
您最多可输入10000个汉字,按 "Ctrl" + "Enter" 直接发送
搜索回复/乘电梯 ×
按内容
按会员
乘电梯
合作伙伴
友情链接
Baidu
map