共1页/3条首页上一页1下一页尾页
回复:3 阅读:1164
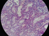
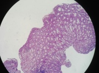
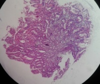
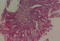
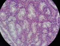
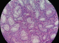
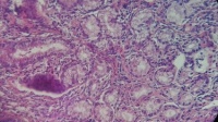
胃窦

旭日 离线

帖子:680
粉蓝豆:406
经验:1407
注册时间:2009-12-25
加关注  |  发消息
楼主 发表于 2017-02-21 21:19|举报|关注(0)
浏览排序[ 顺序 逆序 楼主 支持 精彩 ]  快捷回复
  • 图1
  • 图2
  • 图3
  • 图4
  • 图5
  • 图6
  • 图7
标签:
0
signature
阳光
添加参考诊断
×参考诊断
  

微观世界笨鸟 离线

帖子:1091
粉蓝豆:93
经验:2243
注册时间:2011-01-27
加关注  |  发消息
1 楼    发表于2017-02-21 22:27:07举报|引用
来自Android 返回顶部 | 快捷回复
浅表性胃炎。
0
回复
signature
刀尖舞者!

蝴蝶兰dali2003 离线

帖子:11488
粉蓝豆:2441
经验:12053
注册时间:2009-09-06
加关注  |  发消息
2 楼    发表于2017-02-21 22:50:46举报|引用
返回顶部 | 快捷回复

 间质中炎细胞比较多,隐窝拉长,扩张,仅从这几张图片而言,需要考虑增生性息肉,但要结合内镜下所见。

请用组织病理模板发贴,提供患者年龄、病史,内镜下所见等。

1

邵长景
回复
signature
相逢是首歌,同行是你和我。

旭日 离线

帖子:680
粉蓝豆:406
经验:1407
注册时间:2009-12-25
加关注  |  发消息
3 楼    发表于2017-02-21 23:12:32举报|引用
来自Android 返回顶部 | 快捷回复
42岁胃痛快3年,胃镜下胃有凹陷的开口,考虑异位胰腺
0
回复
signature
阳光
回复:3 阅读:1164
共1页/3条首页上一页1下一页尾页
【免责声明】讨论内容仅作学术交流之用,不作为诊疗依据,由此而引起的法律问题作者及本站不承担任何责任。
快速回复
进入高级回复
您最多可输入10000个汉字,按 "Ctrl" + "Enter" 直接发送
搜索回复/乘电梯 ×
按内容
按会员
乘电梯
合作伙伴
友情链接
Baidu
map