共1页/7条首页上一页1下一页尾页
回复:10 阅读:974
甘蔗

hzh666 离线

帖子:850
粉蓝豆:2295
经验:856
注册时间:2015-06-27
加关注  |  发消息
楼主 发表于 2018-02-06 21:11|举报|关注(0)
浏览排序[ 顺序 逆序 楼主 支持 精彩 ]  快捷回复
  • 图1
  • 图2
  • 图3
    标签:
    0
    添加参考诊断
    ×参考诊断
      

    hzh666 离线

    帖子:850
    粉蓝豆:2295
    经验:856
    注册时间:2015-06-27
    加关注  |  发消息
    1 楼    发表于2018-02-06 21:13:07举报|引用
    来自iPhone 返回顶部 | 快捷回复
    补充
    • 图1
    • 图2
      0
      回复

      蝴蝶兰dali2003 离线

      帖子:11522
      粉蓝豆:2442
      经验:12087
      注册时间:2009-09-06
      加关注  |  发消息
      2 楼    发表于2018-02-06 21:59:26举报|引用
      返回顶部 | 快捷回复

       还真是有点像呢。

      0
      回复
      signature
      相逢是首歌,同行是你和我。

      QGW123 离线

      帖子:1458
      粉蓝豆:5
      经验:1476
      注册时间:2017-04-03
      加关注  |  发消息
      3 楼    发表于2018-02-07 08:12:40举报|引用
      返回顶部 | 快捷回复

       哈哈的确像,善于发现TBS里总是其乐无穷。

      0
      回复

      小辉辉 离线

      帖子:880
      粉蓝豆:60
      经验:956
      注册时间:2012-05-31
      加关注  |  发消息
      4 楼    发表于2018-02-07 10:21:24举报|引用
      来自Android 返回顶部 | 快捷回复
      什么东东,难道也是真菌的一种?
      0
      收起回复
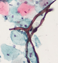
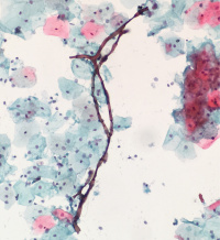
      • hzh666:  链格孢菌的菌丝,是丝状真菌。分节,褐色是其特点。
        来自iPhone 2018-02-07 14:24

      hzh666 离线

      帖子:850
      粉蓝豆:2295
      经验:856
      注册时间:2015-06-27
      加关注  |  发消息
      5 楼    发表于2018-02-07 16:17:18举报|引用
      来自iPhone 返回顶部 | 快捷回复
      链格孢菌之分生孢子及分隔菌丝(箭头示)
      • 图1
        0
        收起回复
        • QGW123:  请问胡老师,这种真菌有什么临床意义吗?
          2018-02-08 10:59
        • hzh666:  污染的
          来自iPhone 2018-02-08 19:24

        www810910 离线

        帖子:5455
        粉蓝豆:338
        经验:7608
        注册时间:2010-05-27
        加关注  |  发消息
        6 楼    发表于2018-02-07 16:20:41举报|引用
        来自Android 返回顶部 | 快捷回复
        谢谢分享~
        0
        回复
        signature
        做人要知足,做事要知不足,做学问要不知足!

        苏伊粉蓝 离线

        帖子:209
        粉蓝豆:13
        经验:365
        注册时间:2015-06-14
        加关注  |  发消息
        7 楼    发表于2018-02-07 21:41:15举报|引用
        返回顶部 | 快捷回复

         谢谢分享,长见识了

        0
        回复
        回复:10 阅读:974
        共1页/7条首页上一页1下一页尾页
        【免责声明】讨论内容仅作学术交流之用,不作为诊疗依据,由此而引起的法律问题作者及本站不承担任何责任。
        快速回复
        进入高级回复
        您最多可输入10000个汉字,按 "Ctrl" + "Enter" 直接发送
        搜索回复/乘电梯 ×
        按内容
        按会员
        乘电梯
        合作伙伴
        友情链接
        Baidu
        map