共1页/2条首页上一页1下一页尾页
回复:4 阅读:1303
食管中下段活检,局部异形。够癌不?

butterfly0110022 离线

帖子:351
粉蓝豆:17
经验:546
注册时间:2014-05-01
加关注  |  发消息
楼主 发表于 2018-04-03 16:14|举报|关注(0)
浏览排序[ 顺序 逆序 楼主 支持 精彩 ]  快捷回复
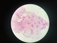
性别年龄61临床诊断食管病变
一般病史吞咽困难两年
标本名称食管活检
大体所见灰白小组织四块
  • 图1
  • 图2
  • 图3
  • 图4
  • 图5
  • 图6
  • 图7
  • 图8
  • 图9
  • 图10
  • 图11
  • 图12
  • 图13
  • 图14
  • 图15
    标签:
    1
    添加参考诊断
    ×参考诊断
      

    huangzhonghua 离线

    帖子:37
    粉蓝豆:47
    经验:370
    注册时间:2006-10-22
    加关注  |  发消息
    1 楼    发表于2018-04-03 16:49:54举报|引用
    返回顶部 | 快捷回复

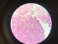
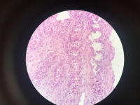
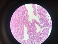
     就单这一块不敢直接报浸润癌,感觉高级别上皮内肿瘤比较合适。

    2

    邵长景

    whyang31..
    收起回复

    似水年华 离线

    帖子:4785
    粉蓝豆:1224
    经验:7481
    注册时间:2011-03-23
    加关注  |  发消息
    2 楼    发表于2018-04-04 15:09:39举报|引用
    返回顶部 | 快捷回复

    高级别上皮内瘤变,取材浅表,癌不排除, 请结合临床及胃镜所见,必要时再次活检。

    1

    蝴蝶兰da..
    收起回复
    signature
    人生就像一场旅行,不必在乎目的地,在乎的是沿途的风景以及看风景的心情,让心灵去旅行。
    回复:4 阅读:1303
    共1页/2条首页上一页1下一页尾页
    【免责声明】讨论内容仅作学术交流之用,不作为诊疗依据,由此而引起的法律问题作者及本站不承担任何责任。
    快速回复
    进入高级回复
    您最多可输入10000个汉字,按 "Ctrl" + "Enter" 直接发送
    搜索回复/乘电梯 ×
    按内容
    按会员
    乘电梯
    合作伙伴
    友情链接
    Baidu
    map