共1页/6条首页上一页1下一页尾页
回复:6 阅读:3325
病理切片有窟窿

潘阳 离线

帖子:1
粉蓝豆:7
经验:1
注册时间:2018-08-21
加关注  |  发消息
楼主 发表于 2018-08-22 00:19|举报|关注(0)
浏览排序[ 顺序 逆序 楼主 支持 精彩 ]  快捷回复
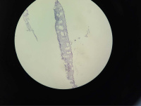
切片有窟窿,是切得不到位还是别的什么原因
  • 图1
    标签:
    0
    添加参考诊断
    ×参考诊断
      

    hespider2010 离线

    帖子:2
    粉蓝豆:7
    经验:127
    注册时间:2016-06-15
    加关注  |  发消息
    1 楼    发表于2018-08-29 08:57:43举报|引用
    返回顶部 | 快捷回复

     包膜时候有气泡?

    0
    回复

    蝴蝶兰dali2003 离线

    帖子:11519
    粉蓝豆:2442
    经验:12084
    注册时间:2009-09-06
    加关注  |  发消息
    2 楼    发表于2018-09-28 22:56:11举报|引用
    返回顶部 | 快捷回复

     修片的时候用力不要过猛。

    0
    回复
    signature
    相逢是首歌,同行是你和我。

    3993016@qq.com 离线

    帖子:23
    粉蓝豆:274
    经验:114
    注册时间:2016-05-24
    加关注  |  发消息
    3 楼    发表于2018-10-10 18:41:37举报|引用
    来自Android 返回顶部 | 快捷回复
    多半是包埋不平整或者修片修的过多吧
    0
    回复

    耶稣门徒2 离线

    帖子:250
    粉蓝豆:0
    经验:353
    注册时间:2013-09-15
    加关注  |  发消息
    4 楼    发表于2018-10-11 13:06:17举报|引用
    来自Android 返回顶部 | 快捷回复
    冻的
    1

    95140811..
    回复
    signature
    我到家了

    ntzq 离线

    帖子:6
    粉蓝豆:95
    经验:6
    注册时间:2015-12-10
    加关注  |  发消息
    5 楼    发表于2018-10-12 08:30:25举报|引用
    来自iPhone 返回顶部 | 快捷回复
    有可能是取材不平整,切片的时候没有修平
    0
    回复

    杨成华 离线

    帖子:6273
    粉蓝豆:261
    经验:7141
    注册时间:2014-12-16
    加关注  |  发消息
    6 楼    发表于2018-10-12 09:13:10举报|引用
    返回顶部 | 快捷回复

     这么多评论,只有4楼说对了。

    1

    95140811..
    回复
    回复:6 阅读:3325
    共1页/6条首页上一页1下一页尾页
    【免责声明】讨论内容仅作学术交流之用,不作为诊疗依据,由此而引起的法律问题作者及本站不承担任何责任。
    快速回复
    进入高级回复
    您最多可输入10000个汉字,按 "Ctrl" + "Enter" 直接发送
    搜索回复/乘电梯 ×
    按内容
    按会员
    乘电梯
    合作伙伴
    友情链接
    Baidu
    map