共1页/6条首页上一页1下一页尾页
回复:7 阅读:937
子宫肿瘤

guanzhongyan 离线

帖子:79
粉蓝豆:11
经验:187
注册时间:2009-11-04
加关注  |  发消息
楼主 发表于 2020-04-02 19:09|举报|关注(0)
浏览排序[ 顺序 逆序 楼主 支持 精彩 ]  快捷回复
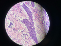
性别年龄60临床诊断子宫内膜间质肉瘤
一般病史
标本名称全子宫及双附件
大体所见送检子宫肿物破碎,灰黄质软易碎,不明确肿块与内膜关系
请教 镜下除了腺癌就是成片这样间质,间质有问题吗?癌肉瘤?子宫内膜样腺癌?
  • 图1
  • 图2
    标签:
    0
    signature
    认真对待每一个病例。
    添加参考诊断
    ×参考诊断
      

    whyang315 离线

    帖子:7348
    粉蓝豆:416
    经验:8965
    注册时间:2014-05-04
    加关注  |  发消息
    1 楼    发表于2020-04-02 19:17:42举报|引用
    返回顶部 | 快捷回复

     多一些切片!

    0
    回复

    guanzhongyan 离线

    帖子:79
    粉蓝豆:11
    经验:187
    注册时间:2009-11-04
    加关注  |  发消息
    2 楼    发表于2020-04-03 08:32:16举报|引用
    来自iPhone 返回顶部 | 快捷回复
    肿块大约9公分
    • 图1
    • 图2
    • 图3
    • 图4
    • 图5
    • 图6
    • 图7
    • 图8
    • 图9
      0
      回复
      signature
      认真对待每一个病例。

      guanzhongyan 离线

      帖子:79
      粉蓝豆:11
      经验:187
      注册时间:2009-11-04
      加关注  |  发消息
      3 楼    发表于2020-04-03 08:35:53举报|引用
      来自iPhone 返回顶部 | 快捷回复
      不同的区域
      • 图1
      • 图2
      • 图3
      • 图4
        0
        回复
        signature
        认真对待每一个病例。

        雾蒙蒙 离线

        帖子:30591
        粉蓝豆:4950
        经验:37219
        注册时间:2011-06-12
        加关注  |  发消息
        4 楼    发表于2020-04-03 09:56:04举报|引用
        返回顶部 | 快捷回复

         感觉间质没什么问题。

        1

        guanzhon..
        回复
        signature

        诚信 敬业 博学 奉献

        whyang315 离线

        帖子:7348
        粉蓝豆:416
        经验:8965
        注册时间:2014-05-04
        加关注  |  发消息
        5 楼    发表于2020-04-03 10:08:39举报|引用
        返回顶部 | 快捷回复

         建议:CK;Vim;Ki67等,排除癌肉瘤(子宫内膜腺癌+间质肉瘤)

        0
        收起回复
        • guanzhongyan:  谢谢各位老师,看了影像学,肿块大约9公分主要位于宫腔内,初步报告考虑了恶性Muller混合瘤,子宫内膜样腺癌,和子宫内膜间质肉瘤,这两个图的区域感觉像子宫内膜间质肌层侵犯,免疫在做了。
          • 图1
          • 图2
            来自iPhone 2020-04-03 10:47

          杨成华 离线

          帖子:6273
          粉蓝豆:261
          经验:7141
          注册时间:2014-12-16
          加关注  |  发消息
          6 楼    发表于2020-04-03 10:38:49举报|引用
          返回顶部 | 快捷回复

          癌肉瘤(不排除中胚叶混合瘤) 。

          0
          回复
          回复:7 阅读:937
          共1页/6条首页上一页1下一页尾页
          【免责声明】讨论内容仅作学术交流之用,不作为诊疗依据,由此而引起的法律问题作者及本站不承担任何责任。
          快速回复
          进入高级回复
          您最多可输入10000个汉字,按 "Ctrl" + "Enter" 直接发送
          搜索回复/乘电梯 ×
          按内容
          按会员
          乘电梯
          合作伙伴
          友情链接
          Baidu
          map