共1页/6条首页上一页1下一页尾页
回复:9 阅读:1185
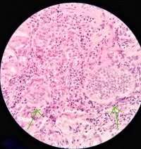
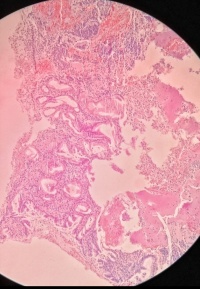
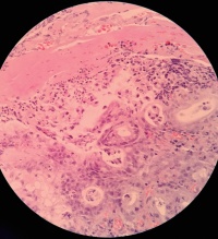
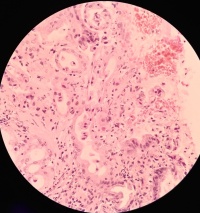
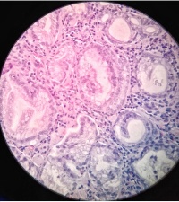
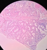
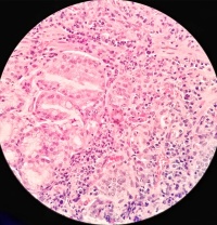
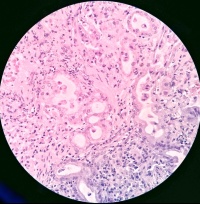
胃角溃疡活检

十月 离线

帖子:2785
粉蓝豆:2
经验:3155
注册时间:2010-11-01
加关注  |  发消息
楼主 发表于 2021-06-02 16:10|举报|关注(0)
浏览排序[ 顺序 逆序 楼主 支持 精彩 ]  快捷回复
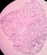
性别年龄53临床诊断
一般病史胃角溃疡
标本名称活检
大体所见灰白
  • 图1
  • 图2
  • 图3
  • 图4
  • 图5
  • 图6
  • 图7
  • 图8
  • 图9
  • 图10
  • 图11
  • 图12
  • 图13
  • 图14
    标签:
    0
    添加参考诊断
    ×参考诊断
      

    lanyue 离线

    帖子:8423
    粉蓝豆:1626
    经验:15757
    注册时间:2014-03-29
    加关注  |  发消息
    1 楼    发表于2021-06-03 15:11:12举报|引用
    返回顶部 | 快捷回复

     粘膜慢性活动性炎

    0
    收起回复

    十月 离线

    帖子:2785
    粉蓝豆:2
    经验:3155
    注册时间:2010-11-01
    加关注  |  发消息
    2 楼    发表于2021-06-03 15:53:24举报|引用
    返回顶部 | 快捷回复

     

    0
    回复

    杨成华 离线

    帖子:6273
    粉蓝豆:261
    经验:7141
    注册时间:2014-12-16
    加关注  |  发消息
    3 楼    发表于2021-06-03 16:26:33举报|引用
    返回顶部 | 快捷回复

     没有恶性病变。

    0
    回复

    十月 离线

    帖子:2785
    粉蓝豆:2
    经验:3155
    注册时间:2010-11-01
    加关注  |  发消息
    4 楼    发表于2021-06-03 17:20:30举报|引用
    来自Android 返回顶部 | 快捷回复
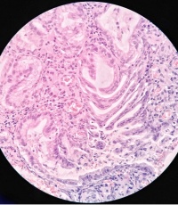
    这几幅图有问题吗?
    • 图1
    • 图2
    • 图3
      0
      收起回复

      王新安 离线

      帖子:524
      粉蓝豆:20
      经验:540
      注册时间:2021-04-30
      加关注  |  发消息
      5 楼    发表于2021-06-04 08:48:38举报|引用
      返回顶部 | 快捷回复

       考虑:急性炎症修复性反应。

      0
      收起回复
      • 王新安:  再看图12与13,腺癌不排除。
        2021-06-11 11:25

      蝴蝶兰dali2003 离线

      帖子:11673
      粉蓝豆:2442
      经验:12241
      注册时间:2009-09-06
      加关注  |  发消息
      6 楼    发表于2021-06-04 22:29:21举报|引用
      返回顶部 | 快捷回复

       第一次的发图3那样的区域还是有些让人放心不下,片子这个颜色,分辩起有来点困难,建议重切重染,看清楚了再发,

      0
      回复
      signature
      相逢是首歌,同行是你和我。
      回复:9 阅读:1185
      共1页/6条首页上一页1下一页尾页
      【免责声明】讨论内容仅作学术交流之用,不作为诊疗依据,由此而引起的法律问题作者及本站不承担任何责任。
      快速回复
      进入高级回复
      您最多可输入10000个汉字,按 "Ctrl" + "Enter" 直接发送
      搜索回复/乘电梯 ×
      按内容
      按会员
      乘电梯
      合作伙伴
      友情链接
      Baidu
      map