共1页/3条首页上一页1下一页尾页
回复:3 阅读:1138
急求会诊!!!,子宫内膜复杂性增生,有非典型增生吗?

小城病理医师 离线

帖子:514
粉蓝豆:14
经验:3508
注册时间:2015-12-13
加关注  |  发消息
楼主 发表于 2021-12-18 00:38|举报|关注(0)
浏览排序[ 顺序 逆序 楼主 支持 精彩 ]  快捷回复
性别年龄49岁临床诊断子宫内膜息肉
一般病史彩超:近3年月经量增多,子宫内膜厚1.5厘米,回声不均,可见不规则无回声,大者0.6x0.5
标本名称宫内容物
大体所见膜样碎组织2.5厘米一堆
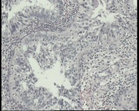
镜下见子宫内膜腺体增生(有单纯性增生,有复杂性增生),排列密集,部分区域间质少,腺体背靠背,局灶腺上皮细胞增生,搭桥,见乳头状分支,请老师看看,子宫内膜复杂性增生伴非典型增生吗?
  • 图1
  • 图2
  • 图3
  • 图4
  • 图5
  • 图6
  • 图7
  • 图8
  • 图9
  • 图10
  • 图11
  • 图12
  • 图13
  • 图14
  • 图15
  • 图16
  • 图17
  • 图18
  • 图19
  • 图20
  • 图21
  • 图22
  • 图23
  • 图24
  • 图25
  • 图26
  • 图27
  • 图28
    标签:
    1
    添加参考诊断
    ×参考诊断
      

    whyang315 离线

    帖子:7362
    粉蓝豆:416
    经验:8989
    注册时间:2014-05-04
    加关注  |  发消息
    1 楼    发表于2021-12-18 10:19:10举报|引用
    返回顶部 | 快捷回复

     考虑:符合子宫内膜复杂性增生伴非典型增生。建议CK;EMA;CA-125;BerEP4,P53;Ki67等,排除恶变的可能性!

    2

    wj811dqy

    张志刚马..
    回复

    小城病理医师 离线

    帖子:514
    粉蓝豆:14
    经验:3508
    注册时间:2015-12-13
    加关注  |  发消息
    2 楼    发表于2021-12-18 12:31:17举报|引用
    返回顶部 | 快捷回复
    本帖最后由 小城病理医师 于 2021-12-18 13:33:45 编辑

    这例子宫内膜腺体增生,间质存在,上皮细胞复层,异型小,腺体有分泌 ,嗜酸

    0
    回复

    蝴蝶兰dali2003 离线

    帖子:11560
    粉蓝豆:2442
    经验:12126
    注册时间:2009-09-06
    加关注  |  发消息
    3 楼    发表于2021-12-18 21:26:30举报|引用
    返回顶部 | 快捷回复

     有些是嗜酸性化生,但有的些腺体上皮层次增多,核变圆了,如图28,非典还是要报的。

    2

    朱羽

    zhaoyumi..
    回复
    signature
    相逢是首歌,同行是你和我。
    回复:3 阅读:1138
    共1页/3条首页上一页1下一页尾页
    【免责声明】讨论内容仅作学术交流之用,不作为诊疗依据,由此而引起的法律问题作者及本站不承担任何责任。
    快速回复
    进入高级回复
    您最多可输入10000个汉字,按 "Ctrl" + "Enter" 直接发送
    搜索回复/乘电梯 ×
    按内容
    按会员
    乘电梯
    合作伙伴
    友情链接
    Baidu
    map