共1页/4条首页上一页1下一页尾页
回复:5 阅读:860
着急发报告!请老师看看胃窦溃疡性病变(胃镜考虑恶性),怎么报?

小城病理医师 离线

帖子:514
粉蓝豆:14
经验:3508
注册时间:2015-12-13
加关注  |  发消息
楼主 发表于 2021-12-21 21:58|举报|关注(0)
浏览排序[ 顺序 逆序 楼主 支持 精彩 ]  快捷回复
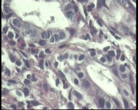
性别年龄71岁临床诊断胃镜诊断:胃窦溃疡性病变——性质待定
一般病史胃窦变形,环周可见不规则溃疡,底附污秽苔及陈旧血痂,可见少量新鲜出血,溃疡周围粘膜呈不规则隆起,质脆,取材5块
标本名称胃镜活检组织
大体所见活检组织5块
镜下见炎性坏死,胃粘膜腺体未见明显异型改变,符合胃溃疡,胃镜考虑恶性,我们病理怎么报?胃溃疡,结合胃镜,建议重新取材吗?
  • 图1
  • 图2
  • 图3
  • 图4
  • 图5
  • 图6
  • 图7
  • 图8
  • 图9
  • 图10
  • 图11
  • 图12
  • 图13
  • 图14
  • 图15
  • 图16
    标签:
    0
    添加参考诊断
    ×参考诊断
      

    小城病理医师 离线

    帖子:514
    粉蓝豆:14
    经验:3508
    注册时间:2015-12-13
    加关注  |  发消息
    1 楼    发表于2021-12-21 22:03:43举报|引用
    返回顶部 | 快捷回复

     胃镜诊断:胃窦溃疡性病变—性质待病理(不好意思,上面打错了,修改不了,打成性质待定了)

    1

    lanyue
    收起回复

    王新安 离线

    帖子:524
    粉蓝豆:20
    经验:540
    注册时间:2021-04-30
    加关注  |  发消息
    2 楼    发表于2021-12-22 08:27:14举报|引用
    返回顶部 | 快捷回复

     要考虑:高分化腺癌。

    2

    whyang31..

    lanyue
    回复

    杨成华 离线

    帖子:6273
    粉蓝豆:261
    经验:7141
    注册时间:2014-12-16
    加关注  |  发消息
    3 楼    发表于2021-12-22 10:24:46举报|引用
    返回顶部 | 快捷回复

     这种形态,诊断癌要小心,建议再活检。

    0
    回复

    蝴蝶兰dali2003 离线

    帖子:11560
    粉蓝豆:2442
    经验:12126
    注册时间:2009-09-06
    加关注  |  发消息
    4 楼    发表于2021-12-25 20:57:09举报|引用
    返回顶部 | 快捷回复

     稳妥起见还是标记一下。

    0
    回复
    signature
    相逢是首歌,同行是你和我。
    回复:5 阅读:860
    共1页/4条首页上一页1下一页尾页
    【免责声明】讨论内容仅作学术交流之用,不作为诊疗依据,由此而引起的法律问题作者及本站不承担任何责任。
    快速回复
    进入高级回复
    您最多可输入10000个汉字,按 "Ctrl" + "Enter" 直接发送
    搜索回复/乘电梯 ×
    按内容
    按会员
    乘电梯
    合作伙伴
    友情链接
    Baidu
    map