共1页/6条首页上一页1下一页尾页
回复:10 阅读:796
请教!是慢性溃疡吗?退变的细胞?

guanzhongyan 离线

帖子:79
粉蓝豆:11
经验:187
注册时间:2009-11-04
加关注  |  发消息
楼主 发表于 2022-03-16 18:17|举报|关注(0)
浏览排序[ 顺序 逆序 楼主 支持 精彩 ]  快捷回复
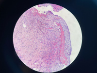
性别年龄51临床诊断消化道溃疡穿孔
一般病史胃溃疡
标本名称消化道溃疡穿孔修补术取活检
大体所见送检活检组织直径0.3厘米。
组织边缘免疫组化CK8阳性的上皮是慢性溃疡黏膜组织退变的细胞吗?跟癌怎么鉴别呢?看HE形态?
  • 图1
  • 图2
  • 图3
  • 图4
  • 图5
  • 图6
  • 图7
  • 图8
  • 图9
    标签:
    0
    signature
    认真对待每一个病例。
    添加参考诊断
    ×参考诊断
      

    whyang315 离线

    帖子:7348
    粉蓝豆:416
    经验:8965
    注册时间:2014-05-04
    加关注  |  发消息
    1 楼    发表于2022-03-16 20:38:44举报|引用
    返回顶部 | 快捷回复

     建议:加做CK20;CDX-2;Her-2;Ki67等。

    0
    收起回复
    • guanzhongyan:  ki67做的,指数不高,主要炎症细胞阳性
      来自iPhone 2022-03-16 21:02
    • whyang315:  那就是符合溃疡!这样放心些!
      2022-03-17 09:01

    lanyue 在线

    帖子:8314
    粉蓝豆:1626
    经验:15611
    注册时间:2014-03-29
    加关注  |  发消息
    2 楼    发表于2022-03-17 07:49:11举报|引用
    返回顶部 | 快捷回复

     溃疡组织

    1

    王新安
    回复

    guanzhongyan 离线

    帖子:79
    粉蓝豆:11
    经验:187
    注册时间:2009-11-04
    加关注  |  发消息
    3 楼    发表于2022-03-17 13:59:02举报|引用
    来自iPhone 返回顶部 | 快捷回复
    散在阳性的上皮怎么解释呢?是溃疡破坏了上皮, 变性了吗?
    0
    回复
    signature
    认真对待每一个病例。

    蝴蝶兰dali2003 离线

    帖子:11522
    粉蓝豆:2442
    经验:12087
    注册时间:2009-09-06
    加关注  |  发消息
    4 楼    发表于2022-03-19 20:31:51举报|引用
    返回顶部 | 快捷回复

     HE形态考虑溃疡。

    免疫标记可以再加做CKL和CEA。

    0
    收起回复
    signature
    相逢是首歌,同行是你和我。

    杨成华 离线

    帖子:6273
    粉蓝豆:261
    经验:7141
    注册时间:2014-12-16
    加关注  |  发消息
    5 楼    发表于2022-03-21 09:55:29举报|引用
    返回顶部 | 快捷回复

     溃疡组织。

    1

    王新安
    回复

    王新安 离线

    帖子:524
    粉蓝豆:20
    经验:540
    注册时间:2021-04-30
    加关注  |  发消息
    6 楼    发表于2022-03-21 10:12:59举报|引用
    返回顶部 | 快捷回复


           慢性胃溃疡病。
    0
    回复
    回复:10 阅读:796
    共1页/6条首页上一页1下一页尾页
    【免责声明】讨论内容仅作学术交流之用,不作为诊疗依据,由此而引起的法律问题作者及本站不承担任何责任。
    快速回复
    进入高级回复
    您最多可输入10000个汉字,按 "Ctrl" + "Enter" 直接发送
    搜索回复/乘电梯 ×
    按内容
    按会员
    乘电梯
    合作伙伴
    友情链接
    Baidu
    map