共1页/5条首页上一页1下一页尾页
回复:5 阅读:538
急求老师帮忙!直肠息肉,局灶高级别,癌变

小城病理医师 离线

帖子:514
粉蓝豆:14
经验:3508
注册时间:2015-12-13
加关注  |  发消息
楼主 发表于 2022-07-16 10:16|举报|关注(0)
浏览排序[ 顺序 逆序 楼主 支持 精彩 ]  快捷回复
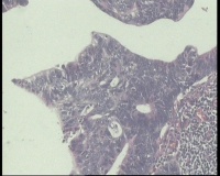
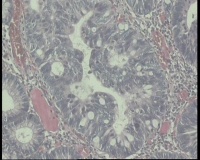
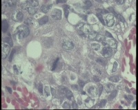
性别年龄68岁临床诊断直肠息肉
一般病史直肠退镜距肛缘4厘米见一亚蒂息肉一枚,头部大小约1.0x0.7,bm 充血,分叶状
标本名称直肠息肉电切
大体所见0.9x0.7x0.6厘米
镜下见腺瘤局灶表面腺体异型增生,腺腔融合,有筛网状结构,核分裂像易见,腺瘤中心腺体正常,基底部正常。报直肠腺瘤局灶腺体高级别上皮内瘤变,癌变趋势吗?
  • 图1
  • 图2
  • 图3
  • 图4
  • 图5
  • 图6
  • 图7
  • 图8
  • 图9
  • 图10
  • 图11
  • 图12
  • 图13
  • 图14
  • 图15
  • 图16
  • 图17
    标签:
    0
    添加参考诊断
    ×参考诊断
      

    雾蒙蒙 离线

    帖子:30633
    粉蓝豆:4989
    经验:37440
    注册时间:2011-06-12
    加关注  |  发消息
    1 楼    发表于2022-07-16 10:28:14举报|引用
    返回顶部 | 快捷回复

     可以。

    1

    chaikeqi..
    回复
    signature

    诚信 敬业 博学 奉献

    whyang315 离线

    帖子:7362
    粉蓝豆:416
    经验:8989
    注册时间:2014-05-04
    加关注  |  发消息
    2 楼    发表于2022-07-16 11:43:01举报|引用
    返回顶部 | 快捷回复

     癌变!

    0
    回复

    小城病理医师 离线

    帖子:514
    粉蓝豆:14
    经验:3508
    注册时间:2015-12-13
    加关注  |  发消息
    3 楼    发表于2022-07-16 14:41:55举报|引用
    返回顶部 | 快捷回复

     没有浸润,慎重点,还是报高级别吧

    0
    回复

    蝴蝶兰dali2003 离线

    帖子:11560
    粉蓝豆:2442
    经验:12126
    注册时间:2009-09-06
    加关注  |  发消息
    4 楼    发表于2022-07-16 21:11:35举报|引用
    返回顶部 | 快捷回复

     局灶高级别,图片上没有看到浸润的证据。

    1

    yymclb
    回复
    signature
    相逢是首歌,同行是你和我。

    蝴蝶兰dali2003 离线

    帖子:11560
    粉蓝豆:2442
    经验:12126
    注册时间:2009-09-06
    加关注  |  发消息
    5 楼    发表于2022-07-16 21:14:09举报|引用
    返回顶部 | 快捷回复

     发重的那个贴子已经帮您删除了。

    0
    回复
    signature
    相逢是首歌,同行是你和我。
    回复:5 阅读:538
    共1页/5条首页上一页1下一页尾页
    【免责声明】讨论内容仅作学术交流之用,不作为诊疗依据,由此而引起的法律问题作者及本站不承担任何责任。
    快速回复
    进入高级回复
    您最多可输入10000个汉字,按 "Ctrl" + "Enter" 直接发送
    搜索回复/乘电梯 ×
    按内容
    按会员
    乘电梯
    合作伙伴
    友情链接
    Baidu
    map