共1页/6条首页上一页1下一页尾页
回复:7 阅读:960
请老师会诊!

小城病理医师 离线

帖子:514
粉蓝豆:14
经验:3508
注册时间:2015-12-13
加关注  |  发消息
楼主 发表于 2022-10-06 15:32|举报|关注(1)
浏览排序[ 顺序 逆序 楼主 支持 精彩 ]  快捷回复
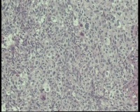
性别年龄68岁临床诊断宫内容物,性质待病理
一般病史停经10余年
标本名称宫内容物
大体所见粉白色块状组织1.0x0.8x0.6厘米—1.9x1.0x0.5厘米4块
  • 图1
  • 图2
  • 图3
  • 图4
  • 图5
  • 图6
  • 图7
  • 图8
  • 图9
  • 图10
  • 图11
  • 图12
  • 图13
  • 图14
  • 图15
  • 图16
  • 图17
  • 图18
    标签:
    0
    添加参考诊断
    ×参考诊断
      

    小城病理医师 离线

    帖子:514
    粉蓝豆:14
    经验:3508
    注册时间:2015-12-13
    加关注  |  发消息
    1 楼    发表于2022-10-06 15:36:58举报|引用
    返回顶部 | 快捷回复

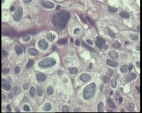
     怎么显示非法数据不让发送。患者女68岁,停经10余年,不规则阴道流血2个月,阴道自行排出物送病理,镜下未见子宫内膜腺体,子宫内膜间质样细胞异型明显,核分裂多见,是高度高度恶性子宫内膜间质肉瘤吗?

    0
    回复

    lei 离线

    帖子:407
    粉蓝豆:36
    经验:1224
    注册时间:2006-12-11
    加关注  |  发消息
    2 楼    发表于2022-10-06 17:05:16举报|引用
    返回顶部 | 快捷回复

     象分化差的内膜癌,这个要做IHC与相关恶性肿瘤鉴别……

    0
    回复

    杨成华 离线

    帖子:6273
    粉蓝豆:261
    经验:7141
    注册时间:2014-12-16
    加关注  |  发消息
    3 楼    发表于2022-10-07 08:12:25举报|引用
    返回顶部 | 快捷回复
    本帖最后由 杨成华 于 2022-10-07 08:14:05 编辑

     恶性肿瘤,鳞癌或腺癌,还是子宫内膜间质肉瘤,建议IHC标记明确。

    0
    收起回复

    whyang315 离线

    帖子:7348
    粉蓝豆:416
    经验:8965
    注册时间:2014-05-04
    加关注  |  发消息
    4 楼    发表于2022-10-07 09:28:17举报|引用
    返回顶部 | 快捷回复

     恶性肿瘤;建议:HMB-45;Melan-A;SMA等‘排除PEComa(恶性)的可能性。

    0
    回复

    wangqinjob 离线

    帖子:5
    粉蓝豆:577
    经验:6
    注册时间:2015-04-23
    加关注  |  发消息
    5 楼    发表于2022-10-17 00:03:32举报|引用
    来自Android 返回顶部 | 快捷回复
    鳞状细胞癌,建议检查宫颈,排除是原发还是转移
    0
    回复

    箫箫笛 离线

    帖子:1286
    粉蓝豆:63
    经验:2298
    注册时间:2006-11-01
    加关注  |  发消息
    6 楼    发表于2022-10-17 09:01:04举报|引用
    返回顶部 | 快捷回复

    免疫组化结果如何?

    0
    回复
    回复:7 阅读:960
    共1页/6条首页上一页1下一页尾页
    【免责声明】讨论内容仅作学术交流之用,不作为诊疗依据,由此而引起的法律问题作者及本站不承担任何责任。
    快速回复
    进入高级回复
    您最多可输入10000个汉字,按 "Ctrl" + "Enter" 直接发送
    搜索回复/乘电梯 ×
    按内容
    按会员
    乘电梯
    合作伙伴
    友情链接
    Baidu
    map