共1页/4条首页上一页1下一页尾页
回复:4 阅读:795
请老师看看胃角溃疡,上皮有轻度非典型增生吗?

小城病理医师 离线

帖子:514
粉蓝豆:14
经验:3508
注册时间:2015-12-13
加关注  |  发消息
楼主 发表于 2022-10-07 22:38|举报|关注(0)
浏览排序[ 顺序 逆序 楼主 支持 精彩 ]  快捷回复
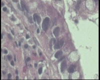
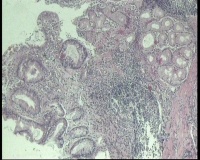
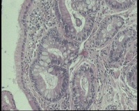
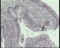
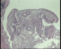
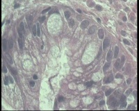
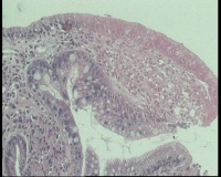
性别年龄58岁临床诊断胃角溃疡
一般病史胃角:近后壁见一处圆形溃疡,大小0.6x0.6厘米,底附黄白苔,周围粘膜充血水肿
标本名称胃镜活检
大体所见胃镜活检组织
镜下胃粘膜腺体肠化,局灶腺上皮细胞核大
  • 图1
  • 图2
  • 图3
  • 图4
  • 图5
  • 图6
  • 图7
  • 图8
  • 图9
    标签:
    0
    添加参考诊断
    ×参考诊断
      

    杨成华 离线

    帖子:6273
    粉蓝豆:261
    经验:7141
    注册时间:2014-12-16
    加关注  |  发消息
    1 楼    发表于2022-10-08 08:06:16举报|引用
    返回顶部 | 快捷回复

     有坏组织,符合溃疡,腺体肠化,轻度不典型增生。

    0
    回复

    雾蒙蒙 离线

    帖子:30633
    粉蓝豆:4989
    经验:37440
    注册时间:2011-06-12
    加关注  |  发消息
    2 楼    发表于2022-10-08 10:57:22举报|引用
    返回顶部 | 快捷回复

     溃疡+萎缩+肠化+修复。

    1

    lanyue
    回复
    signature

    诚信 敬业 博学 奉献

    fuyong 离线

    帖子:6879
    粉蓝豆:2017
    经验:12692
    注册时间:2008-03-10
    加关注  |  发消息
    3 楼    发表于2022-10-08 21:19:11举报|引用
    返回顶部 | 快捷回复

    无 ,不过目前也不太这样诊断了

    0
    回复
    signature
    多读书,读好书

    蝴蝶兰dali2003 离线

    帖子:11560
    粉蓝豆:2442
    经验:12126
    注册时间:2009-09-06
    加关注  |  发消息
    4 楼    发表于2022-10-08 21:57:02举报|引用
    返回顶部 | 快捷回复

     有肠化和修复性增生。

    0
    回复
    signature
    相逢是首歌,同行是你和我。
    回复:4 阅读:795
    共1页/4条首页上一页1下一页尾页
    【免责声明】讨论内容仅作学术交流之用,不作为诊疗依据,由此而引起的法律问题作者及本站不承担任何责任。
    快速回复
    进入高级回复
    您最多可输入10000个汉字,按 "Ctrl" + "Enter" 直接发送
    搜索回复/乘电梯 ×
    按内容
    按会员
    乘电梯
    合作伙伴
    友情链接
    Baidu
    map