共1页/6条首页上一页1下一页尾页
回复:6 阅读:909
请老师看看回肠末端穿孔

小城病理医师 离线

帖子:514
粉蓝豆:14
经验:3508
注册时间:2015-12-13
加关注  |  发消息
楼主 发表于 2023-04-28 16:33|举报|关注(0)
浏览排序[ 顺序 逆序 楼主 支持 精彩 ]  快捷回复
性别年龄44岁临床诊断回盲部肿物
一般病史腹痛3天,腹膜炎,以阑尾炎手术,术中发现回肠末端穿孔,浆膜包块
标本名称右半结肠切除
大体所见右半结肠切除,回肠末端见直径0.3厘米圆形穿孔,至浆膜,浆膜约5.0厘米区域质硬,出血,溃烂,阑尾6.5x0.5厘米,表面充血.
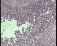
镜下穿孔周围小肠粘膜正常,见两个炎性小息肉,肠腔无狭窄,无溃疡,周围肠壁中性粒细胞,嗜酸性粒细胞浸润,淋巴细胞少,无非干酪样坏死性肉芽肿,浆膜见脓汁聚集,大量中性粒细胞浸润,并见植物细胞(黄色核的是什么细胞?图14-18),穿孔处最深处浆膜见小肠腺体(图9),穿孔原因是什么那?克隆氏病,肠结核,肠伤寒都不符,溃疡性结肠炎也不符,穿孔周围粘膜正常,无溃疡,只是穿孔的瘘道内壁炎性坏死,这个怎么报哪?阑尾仅浆膜血管充血,出血,阑尾无炎症,那右下腹痛就不是阑尾炎,是回肠末端穿孔,回肠末端要是炎症穿孔的话,周围粘膜得有坏死,这个都正常啊,况且穿孔深处底端的小肠粘膜都是正常的腺体,就好像粘膜缺失的组织沿着空腔掉到了浆膜,小肠漏出少量内容物,浆膜周围化脓性炎,坏死,形成包裹,这怎么报告那?
  • 图1粘膜穿孔处
  • 图2粘膜穿孔处
  • 图3
  • 图4
  • 图5粘膜小息肉
  • 图6粘膜小息肉
  • 图7穿孔旁肌壁
  • 图8穿孔旁肌壁
  • 图9穿孔深处浆膜内腺体
  • 图10浆膜
  • 图11浆膜
  • 图12浆膜
  • 图13浆膜
  • 图14
  • 图15
  • 图16
  • 图17
  • 图18
    标签:
    本帖最后由 小城病理医师 于 2023-04-29 08:23:29 编辑
    0
    添加参考诊断
    ×参考诊断
      

    whyang315 离线

    帖子:7362
    粉蓝豆:416
    经验:8989
    注册时间:2014-05-04
    加关注  |  发消息
    1 楼    发表于2023-04-28 20:34:10举报|引用
    返回顶部 | 快捷回复

     可能是:阑尾先坏死,炎症,继而引起回肠末端坏死,炎症,穿孔

    0
    回复

    小城病理医师 离线

    帖子:514
    粉蓝豆:14
    经验:3508
    注册时间:2015-12-13
    加关注  |  发消息
    2 楼    发表于2023-04-29 05:46:34举报|引用
    来自Android 返回顶部 | 快捷回复
    老师,阑尾没事
    0
    回复

    杨成华 离线

    帖子:6273
    粉蓝豆:261
    经验:7141
    注册时间:2014-12-16
    加关注  |  发消息
    3 楼    发表于2023-04-29 08:40:23举报|引用
    返回顶部 | 快捷回复

     14图以后,考虑寄生虫或食物残渣,肠穿孔建议排除阿米巴。

    0
    回复

    whyang315 离线

    帖子:7362
    粉蓝豆:416
    经验:8989
    注册时间:2014-05-04
    加关注  |  发消息
    4 楼    发表于2023-04-29 09:53:13举报|引用
    返回顶部 | 快捷回复

    那么考虑:1.低分化腺癌(片子做的不好,看的不清楚)先做一下CEA ,CK7;CK19;CK20,P53;Ki67等;2,寄生虫感染;从坏死类型到病理形态都似乎像奇生虫感染,但又无

    法归于哪一类型,所以总体来看,前者的可能性较大!

    1

    小城病理..
    回复

    小城病理医师 离线

    帖子:514
    粉蓝豆:14
    经验:3508
    注册时间:2015-12-13
    加关注  |  发消息
    5 楼    发表于2023-04-29 13:30:11举报|引用
    返回顶部 | 快捷回复
    本帖最后由 小城病理医师 于 2023-04-29 13:37:48 编辑

     老师,细看一下,在浆膜的片状粘膜,腺体都是正常的,排列规则,无癌

    0
    回复

    whyang315 离线

    帖子:7362
    粉蓝豆:416
    经验:8989
    注册时间:2014-05-04
    加关注  |  发消息
    6 楼    发表于2023-04-30 20:04:30举报|引用
    返回顶部 | 快捷回复

     最后结果?

    0
    回复
    回复:6 阅读:909
    共1页/6条首页上一页1下一页尾页
    【免责声明】讨论内容仅作学术交流之用,不作为诊疗依据,由此而引起的法律问题作者及本站不承担任何责任。
    快速回复
    进入高级回复
    您最多可输入10000个汉字,按 "Ctrl" + "Enter" 直接发送
    搜索回复/乘电梯 ×
    按内容
    按会员
    乘电梯
    合作伙伴
    友情链接
    Baidu
    map