共1页/4条首页上一页1下一页尾页
回复:4 阅读:915
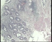
请老师看看,自己家亲属,胃窦慢性活动性炎,腺体伴肠化,非典型增生吗?

兰馨儿 离线

帖子:370
粉蓝豆:5
经验:2575
注册时间:2016-06-26
加关注  |  发消息
楼主 发表于 2023-07-04 19:51|举报|关注(1)
浏览排序[ 顺序 逆序 楼主 支持 精彩 ]  快捷回复
性别年龄51岁临床诊断平坦糜烂性胃炎伴胆汁反流
一般病史胃窦变形,粘膜充血,红白相间,以白为主,散在片状红斑。前壁见片状糜烂,取材3块
标本名称胃镜活检
大体所见胃镜活检组织
图15,16腺上皮细胞核大,腺腔不太清,深切后就没有了,请老师看看,有非典型增生吗?
  • 图1
  • 图2
  • 图3
  • 图4
  • 图5
  • 图6
  • 图7
  • 图8
  • 图9
  • 图10
  • 图11
  • 图12
  • 图13
  • 图14
  • 图15
  • 图16
    标签:
    0
    添加参考诊断
    ×参考诊断
      

    991124487 离线

    帖子:313
    粉蓝豆:50
    经验:1759
    注册时间:2012-03-24
    加关注  |  发消息
    1 楼    发表于2023-07-04 21:32:57举报|引用
    返回顶部 | 快捷回复

     萎缩性胃炎伴活动,腺体修复性增生/反应性增生,HP+

    2

    芳芳驾到

    whyang31..
    回复
    signature
    我爱我所爱的人

    lanyue 离线

    帖子:8835
    粉蓝豆:1626
    经验:16343
    注册时间:2014-03-29
    加关注  |  发消息
    2 楼    发表于2023-07-05 08:20:23举报|引用
    返回顶部 | 快捷回复

     慢性萎缩性胃炎,活动度(+++),肠化(+),HP染色可能阳性

    1

    Xiaoxia..
    回复

    杨成华 离线

    帖子:6273
    粉蓝豆:261
    经验:7141
    注册时间:2014-12-16
    加关注  |  发消息
    3 楼    发表于2023-07-05 08:50:10举报|引用
    返回顶部 | 快捷回复

     慢活萎,肠化,糜烂。

    0
    回复

    蝴蝶兰dali2003 离线

    帖子:12073
    粉蓝豆:2448
    经验:12642
    注册时间:2009-09-06
    加关注  |  发消息
    4 楼    发表于2023-07-10 20:43:38举报|引用
    返回顶部 | 快捷回复

     炎症,修复性增生。

    0
    回复
    signature
    相逢是首歌,同行是你和我。
    回复:4 阅读:915
    共1页/4条首页上一页1下一页尾页
    【免责声明】讨论内容仅作学术交流之用,不作为诊疗依据,由此而引起的法律问题作者及本站不承担任何责任。
    快速回复
    进入高级回复
    您最多可输入10000个汉字,按 "Ctrl" + "Enter" 直接发送
    搜索回复/乘电梯 ×
    按内容
    按会员
    乘电梯
    合作伙伴
    友情链接
    Baidu
    map