共1页/4条首页上一页1下一页尾页
回复:4 阅读:653
请老师帮忙看看,直肠息肉,本人直系亲属

小城病理医师 离线

帖子:514
粉蓝豆:14
经验:3508
注册时间:2015-12-13
加关注  |  发消息
楼主 发表于 2023-08-05 10:40|举报|关注(0)
浏览排序[ 顺序 逆序 楼主 支持 精彩 ]  快捷回复
性别年龄79岁临床诊断结直肠多发息肉
一般病史稀便
标本名称结直肠多发息肉电切
大体所见乙状结肠,直肠息肉0.6—0.8x0.7x0.7厘米4个
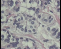
息肉三个为腺瘤,这里就不拍图了,其中一个稍小的0.6x0.6x0.4厘米的,切面发黄,质硬,表面光滑,镜下瘤细胞圆形、卵圆形、柱状,呈腺样、索条状排列,无明显核分裂,神经内分泌肿瘤GI吗?(图1,2为表面,最后一图为切缘,切缘一个很窄的小边为纤维脂肪组织没有瘤细胞,这能算切缘净吗?还是报瘤组织紧贴切缘?)
  • 图1
  • 图2
  • 图3
  • 图4
  • 图5
  • 图6
  • 图7
  • 图8
  • 图9
  • 图10
    标签:
    0
    添加参考诊断
    ×参考诊断
      

    honger 离线

    帖子:2
    粉蓝豆:5
    经验:4
    注册时间:2017-06-25
    加关注  |  发消息
    1 楼    发表于2023-08-05 15:33:48举报|引用
    来自Android 返回顶部 | 快捷回复
    神经内分泌肿瘤G1
    0
    回复

    青皮橘 离线

    帖子:266
    粉蓝豆:310
    经验:652
    注册时间:2014-09-12
    加关注  |  发消息
    2 楼    发表于2023-08-05 18:27:12举报|引用
    返回顶部 | 快捷回复

       神经内分泌肿瘤,G1,切缘干净但少于1毫米,随访。

    0
    回复

    蝴蝶兰dali2003 离线

    帖子:11488
    粉蓝豆:2441
    经验:12053
    注册时间:2009-09-06
    加关注  |  发消息
    3 楼    发表于2023-08-05 19:41:15举报|引用
    返回顶部 | 快捷回复

     神经内分泌肿瘤,关于分级,核分裂找不到的话参考一下Ki67,肿瘤与切缘间的距离用测微尺测一下。

    0
    回复
    signature
    相逢是首歌,同行是你和我。

    小城病理医师 离线

    帖子:514
    粉蓝豆:14
    经验:3508
    注册时间:2015-12-13
    加关注  |  发消息
    4 楼    发表于2023-08-05 19:49:26举报|引用
    返回顶部 | 快捷回复

     谢谢老师指导!

    0
    回复
    回复:4 阅读:653
    共1页/4条首页上一页1下一页尾页
    【免责声明】讨论内容仅作学术交流之用,不作为诊疗依据,由此而引起的法律问题作者及本站不承担任何责任。
    快速回复
    进入高级回复
    您最多可输入10000个汉字,按 "Ctrl" + "Enter" 直接发送
    搜索回复/乘电梯 ×
    按内容
    按会员
    乘电梯
    合作伙伴
    友情链接
    Baidu
    map