共1页/6条首页上一页1下一页尾页
回复:7 阅读:1273
左上肢皮肤肿物

chaikeqin 离线

帖子:1349
粉蓝豆:8
经验:1477
注册时间:2009-12-31
加关注  |  发消息
楼主 发表于 2023-08-22 17:04|举报|关注(0)
浏览排序[ 顺序 逆序 楼主 支持 精彩 ]  快捷回复
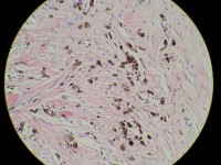
性别年龄33岁临床诊断皮肤色素痣
一般病史左上肢皮肤有一0.3CM 灰黒区,略高与皮肤。
标本名称左上肢皮肤肿物
大体所见小块不规则形带皮组织一块,大小0.6*0.5*03CM,皮肤表面中心部可见一0.3CM灰黒区。
镜下见一黒色巢团色素细胞,其周边纤维组织中可见散在色素样细胞
  • 图1
  • 图2
  • 图3
  • 图4
  • 图5
  • 图6
  • 图7
  • 图8
  • 图9
    标签:
    0
    添加参考诊断
    ×参考诊断
      

    chaikeqin 离线

    帖子:1349
    粉蓝豆:8
    经验:1477
    注册时间:2009-12-31
    加关注  |  发消息
    1 楼    发表于2023-08-22 17:05:37举报|引用
    返回顶部 | 快捷回复
    本帖最后由 chaikeqin 于 2023-08-22 17:06:00 编辑

     帮助别人发贴 。请大家给与指导。

    0
    回复

    chaikeqin 离线

    帖子:1349
    粉蓝豆:8
    经验:1477
    注册时间:2009-12-31
    加关注  |  发消息
    2 楼    发表于2023-08-22 17:34:52举报|引用
    返回顶部 | 快捷回复

     组织应该平切了

    0
    回复

    青皮橘 离线

    帖子:266
    粉蓝豆:310
    经验:652
    注册时间:2014-09-12
    加关注  |  发消息
    3 楼    发表于2023-08-22 20:09:00举报|引用
    返回顶部 | 快捷回复

     考虑深部穿通性痣

    0
    回复

    杨成华 离线

    帖子:6273
    粉蓝豆:261
    经验:7141
    注册时间:2014-12-16
    加关注  |  发消息
    4 楼    发表于2023-08-23 07:51:22举报|引用
    返回顶部 | 快捷回复

     是兰痣,要鉴别陈旧性出血。

    2

    lanyue

    whyang31..
    回复

    一孔之见 离线

    帖子:1646
    粉蓝豆:95
    经验:10879
    注册时间:2013-10-20
    加关注  |  发消息
    5 楼    发表于2023-08-23 08:07:07举报|引用
    返回顶部 | 快捷回复

     普通型蓝痣,组织平切了

    3

    lanyue

    choupaop..

    smy86081..
    收起回复
    signature
    新手,请多指导!

    王新安 离线

    帖子:524
    粉蓝豆:20
    经验:540
    注册时间:2021-04-30
    加关注  |  发消息
    6 楼    发表于2023-08-24 08:53:34举报|引用
    返回顶部 | 快捷回复

     复合痣不排除。

    0
    回复
    回复:7 阅读:1273
    共1页/6条首页上一页1下一页尾页
    【免责声明】讨论内容仅作学术交流之用,不作为诊疗依据,由此而引起的法律问题作者及本站不承担任何责任。
    快速回复
    进入高级回复
    您最多可输入10000个汉字,按 "Ctrl" + "Enter" 直接发送
    搜索回复/乘电梯 ×
    按内容
    按会员
    乘电梯
    合作伙伴
    友情链接
    Baidu
    map