共1页/3条首页上一页1下一页尾页
回复:3 阅读:617
左肺占位

木槿昔年 离线

帖子:201
粉蓝豆:18
经验:216
注册时间:2022-12-20
加关注  |  发消息
楼主 发表于 2023-09-04 19:01|举报|关注(0)
浏览排序[ 顺序 逆序 楼主 支持 精彩 ]  快捷回复
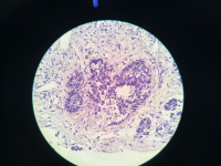
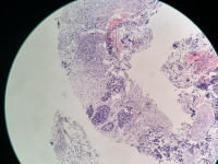
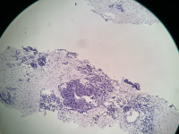
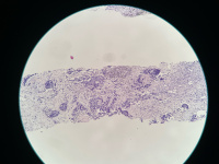
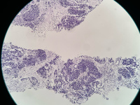
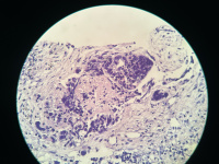
性别年龄79临床诊断
一般病史肺占位
标本名称肺穿刺
大体所见肺穿刺组织
  • 图1
  • 图2
  • 图3
  • 图4
  • 图5
  • 图6
  • 图7
  • 图8
  • 图9
  • 图10
  • 图11
  • 图12
    标签:
    0
    添加参考诊断
    ×参考诊断
      

    青皮橘 离线

    帖子:266
    粉蓝豆:310
    经验:652
    注册时间:2014-09-12
    加关注  |  发消息
    1 楼    发表于2023-09-04 20:15:41举报|引用
    返回顶部 | 快捷回复

     恶性肿瘤,考虑低分化鳞状细胞癌伴坏死,建议免疫组化P40,TTF-1,CGA,CD56等协助诊断。

    3

    whyang31..

    choupaop..

    马红超
    回复

    蝴蝶兰dali2003 离线

    帖子:11488
    粉蓝豆:2441
    经验:12053
    注册时间:2009-09-06
    加关注  |  发消息
    2 楼    发表于2023-09-04 21:30:30举报|引用
    返回顶部 | 快捷回复

     神经内分泌也需要鉴别,建议做免疫组化协诊。

    0
    回复
    signature
    相逢是首歌,同行是你和我。

    杨成华 离线

    帖子:6273
    粉蓝豆:261
    经验:7141
    注册时间:2014-12-16
    加关注  |  发消息
    3 楼    发表于2023-09-08 09:03:29举报|引用
    返回顶部 | 快捷回复

    考虑小细胞癌。 

    0
    回复
    回复:3 阅读:617
    共1页/3条首页上一页1下一页尾页
    【免责声明】讨论内容仅作学术交流之用,不作为诊疗依据,由此而引起的法律问题作者及本站不承担任何责任。
    快速回复
    进入高级回复
    您最多可输入10000个汉字,按 "Ctrl" + "Enter" 直接发送
    搜索回复/乘电梯 ×
    按内容
    按会员
    乘电梯
    合作伙伴
    友情链接
    Baidu
    map