共1页/4条首页上一页1下一页尾页
回复:4 阅读:547
腹部肿物,隆突?

无所畏惧 离线

帖子:291
粉蓝豆:966
经验:352
注册时间:2018-03-02
加关注  |  发消息
楼主 发表于 2023-09-08 18:51|举报|关注(0)
浏览排序[ 顺序 逆序 楼主 支持 精彩 ]  快捷回复
性别年龄32临床诊断
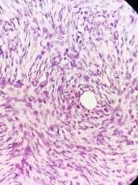
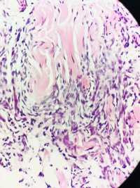
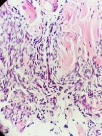
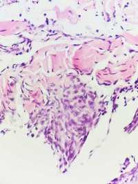
一般病史腹部肿物2年,术中见肿物紧邻皮下,与皮肤无黏连,肿物表面有粘液感,光滑
标本名称腹部肿物
大体所见灰粉结节一枚4*3.5*3cm,无包膜,切面灰粉实性质中,较细腻光滑
  • 图1
  • 图2
  • 图3
  • 图4
  • 图5
  • 图6
  • 图7
  • 图8
  • 图9
  • 图10
  • 图11
  • 图12
  • 图13
  • 图14
  • 图15
  • 图16
  • 图17
  • 图18
  • 图19
  • 图20
  • 图21
  • 图22
  • 图23
  • 图24
  • 图25
  • 图26
  • 图27
  • 图28
  • 图29
  • 图30
  • 图31
  • 图32
    标签:
    0
    添加参考诊断
    ×参考诊断
      

    杨成华 离线

    帖子:6273
    粉蓝豆:261
    经验:7141
    注册时间:2014-12-16
    加关注  |  发消息
    1 楼    发表于2023-09-09 07:44:03举报|引用
    返回顶部 | 快捷回复

     隆突,建议IHC标记排除腹壁纤维瘤病。

    1

    无所畏惧
    回复

    whyang315 在线

    帖子:7350
    粉蓝豆:416
    经验:8967
    注册时间:2014-05-04
    加关注  |  发消息
    2 楼    发表于2023-09-09 16:17:47举报|引用
    返回顶部 | 快捷回复

     本例要鉴别的病种很多;建议:1.VIM;MUC4;SMA;SMA排除低度恶性纤维粘液样肉瘤;2,CD34排除“隆突”3.β-CATENINI,排除纤维瘤病;4.S-100,排除神经和脂肪来源;5。还需排除结节性筋膜炎的可能。

    2

    贾雷

    无所畏惧
    回复

    蝴蝶兰dali2003 离线

    帖子:11522
    粉蓝豆:2442
    经验:12087
    注册时间:2009-09-06
    加关注  |  发消息
    3 楼    发表于2023-09-09 19:50:34举报|引用
    返回顶部 | 快捷回复

     首先考虑隆突,建议做免疫组化协助与其他梭形细胞肿瘤相鉴别。

    2

    无所畏惧

    lanyue
    回复
    signature
    相逢是首歌,同行是你和我。

    无所畏惧 离线

    帖子:291
    粉蓝豆:966
    经验:352
    注册时间:2018-03-02
    加关注  |  发消息
    4 楼    发表于2023-10-13 07:57:20举报|引用
    来自Android 返回顶部 | 快捷回复
    会诊结果:隆突。感谢各位老师!
    0
    回复
    回复:4 阅读:547
    共1页/4条首页上一页1下一页尾页
    【免责声明】讨论内容仅作学术交流之用,不作为诊疗依据,由此而引起的法律问题作者及本站不承担任何责任。
    快速回复
    进入高级回复
    您最多可输入10000个汉字,按 "Ctrl" + "Enter" 直接发送
    搜索回复/乘电梯 ×
    按内容
    按会员
    乘电梯
    合作伙伴
    友情链接
    Baidu
    map