共1页/2条首页上一页1下一页尾页
回复:2 阅读:488
支气管活检,请教老师!

雨夜长风 离线

帖子:570
粉蓝豆:20
经验:723
注册时间:2018-07-16
加关注  |  发消息
楼主 发表于 2023-09-15 10:08|举报|关注(1)
浏览排序[ 顺序 逆序 楼主 支持 精彩 ]  快捷回复
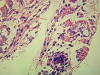
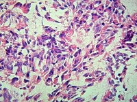
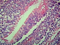
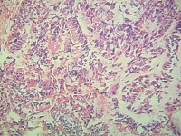
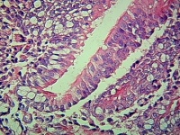
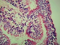
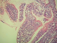
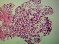
性别年龄22岁临床诊断
一般病史4月前咳嗽,咳痰伴感染。CT:双肺上叶间隔旁肺气肿,右肺中叶内侧段及左肺上叶舌段条索状,右肺中內叶局限性肺不张伴支气管扩张。
标本名称右肺中叶内侧段黏膜
大体所见灰白色小组织2块,直径约0.1CM。
  • 图1
  • 图2
  • 图3
  • 图4
  • 图5
  • 图6
  • 图7
  • 图8
  • 图9
  • 图10
  • 图11
  • 图12
    标签:
    0
    添加参考诊断
    ×参考诊断
      

    whyang315 离线

    帖子:7348
    粉蓝豆:416
    经验:8965
    注册时间:2014-05-04
    加关注  |  发消息
    2 楼    发表于2023-09-15 15:24:07举报|引用
    返回顶部 | 快捷回复

     建议:TTF-1;CK7;P53;Syn;CgA;CD56;napsinA;β-catenin等,如有条件,做个基因检测,EGFR;K-ras,以排除腺癌(胎儿型腺癌)的可能性!

    0
    回复

    杨成华 离线

    帖子:6273
    粉蓝豆:261
    经验:7141
    注册时间:2014-12-16
    加关注  |  发消息
    1 楼    发表于2023-09-15 13:17:09举报|引用
    返回顶部 | 快捷回复

     符合支气管扩张病变。

    0
    回复
    回复:2 阅读:488
    共1页/2条首页上一页1下一页尾页
    【免责声明】讨论内容仅作学术交流之用,不作为诊疗依据,由此而引起的法律问题作者及本站不承担任何责任。
    快速回复
    进入高级回复
    您最多可输入10000个汉字,按 "Ctrl" + "Enter" 直接发送
    搜索回复/乘电梯 ×
    按内容
    按会员
    乘电梯
    合作伙伴
    友情链接
    Baidu
    map