共1页/4条首页上一页1下一页尾页
回复:6 阅读:906
请教,乙状结肠肿物

兰馨儿 离线

帖子:370
粉蓝豆:5
经验:2575
注册时间:2016-06-26
加关注  |  发消息
楼主 发表于 2023-10-12 16:21|举报|关注(0)
浏览排序[ 顺序 逆序 楼主 支持 精彩 ]  快捷回复
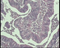
性别年龄59岁临床诊断乙状结肠息肉
一般病史乙状结肠距肛缘30厘米见亚蒂肿物1.5厘米,表面充血,分叶状
标本名称肠镜活检组织
大体所见息肉电切
镜下肠粘膜腺体呈绒毛管状腺瘤,部分高级别,请教老师纤维间质反应那些腺体怎么报?癌变趋势吗,基底切缘干净。最后一图是切缘
  • 图1
  • 图2
  • 图3
  • 图4
  • 图5
  • 图6
  • 图7
  • 图8
  • 图9
  • 图10
  • 图11
  • 图12
  • 图13
  • 图14
  • 图15
  • 图16
  • 图17
  • 图18
  • 图19
    标签:
    0
    添加参考诊断
    ×参考诊断
      

    杨成华 离线

    帖子:6273
    粉蓝豆:261
    经验:7141
    注册时间:2014-12-16
    加关注  |  发消息
    1 楼    发表于2023-10-13 07:55:57举报|引用
    返回顶部 | 快捷回复

    绒毛状腺瘤,局部高级别。 

    0
    收起回复

    lixice 离线

    帖子:198
    粉蓝豆:148
    经验:863
    注册时间:2014-09-01
    加关注  |  发消息
    2 楼    发表于2023-10-13 09:20:38举报|引用
    来自Android 返回顶部 | 快捷回复
    癌变了么?
    0
    收起回复

    lanyue 离线

    帖子:8835
    粉蓝豆:1626
    经验:16343
    注册时间:2014-03-29
    加关注  |  发消息
    3 楼    发表于2023-10-13 09:57:12举报|引用
    返回顶部 | 快捷回复

     高级别并癌变

    0
    回复

    蝴蝶兰dali2003 在线

    帖子:12076
    粉蓝豆:2448
    经验:12645
    注册时间:2009-09-06
    加关注  |  发消息
    4 楼    发表于2023-10-14 20:28:44举报|引用
    返回顶部 | 快捷回复

     有高级别,从这几张图片上看浸润的证据不是很明确,显微镜下再看看。

    0
    回复
    signature
    相逢是首歌,同行是你和我。
    回复:6 阅读:906
    共1页/4条首页上一页1下一页尾页
    【免责声明】讨论内容仅作学术交流之用,不作为诊疗依据,由此而引起的法律问题作者及本站不承担任何责任。
    快速回复
    进入高级回复
    您最多可输入10000个汉字,按 "Ctrl" + "Enter" 直接发送
    搜索回复/乘电梯 ×
    按内容
    按会员
    乘电梯
    合作伙伴
    友情链接
    Baidu
    map