共1页/5条首页上一页1下一页尾页
回复:5 阅读:554
请老师看看,胃窦隆起性糜烂,高级别,没有浸润,能报考虑癌变吗?

小城病理医师 离线

帖子:514
粉蓝豆:14
经验:3508
注册时间:2015-12-13
加关注  |  发消息
楼主 发表于 2023-11-10 19:11|举报|关注(0)
浏览排序[ 顺序 逆序 楼主 支持 精彩 ]  快捷回复
性别年龄54岁临床诊断胃镜诊断:胃癌?
一般病史胃镜:胃窦前壁见一处隆起型糜烂,中央凹陷
标本名称胃镜活检
大体所见活检组织3块
腺上皮异型明显,高级别上皮内瘤变,未间浸润,能报考虑癌变吗?
  • 图1
  • 图2
  • 图3
  • 图4
  • 图5
  • 图6
  • 图7
  • 图8
  • 图9
  • 图10
    标签:
    0
    添加参考诊断
    ×参考诊断
      

    青皮橘 离线

    帖子:266
    粉蓝豆:310
    经验:652
    注册时间:2014-09-12
    加关注  |  发消息
    1 楼    发表于2023-11-10 22:03:25举报|引用
    返回顶部 | 快捷回复

     高级别伴局部癌变

    0
    回复

    杨成华 离线

    帖子:6273
    粉蓝豆:261
    经验:7141
    注册时间:2014-12-16
    加关注  |  发消息
    2 楼    发表于2023-11-11 07:33:31举报|引用
    返回顶部 | 快捷回复
    本帖最后由 杨成华 于 2023-11-11 07:35:49 编辑

     慢萎,肠化,局部低级别(建议再取活检,排除恶变)。

    0
    回复

    蝴蝶兰dali2003 离线

    帖子:11560
    粉蓝豆:2442
    经验:12126
    注册时间:2009-09-06
    加关注  |  发消息
    3 楼    发表于2023-11-11 19:46:08举报|引用
    返回顶部 | 快捷回复

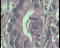
     图6腺体似有融合,建议深切一张再看看。

    0
    回复
    signature
    相逢是首歌,同行是你和我。

    雾蒙蒙 离线

    帖子:30633
    粉蓝豆:4989
    经验:37440
    注册时间:2011-06-12
    加关注  |  发消息
    4 楼    发表于2023-11-13 14:50:36举报|引用
    返回顶部 | 快捷回复

     腺体融合,似有浸润,考虑腺癌

    3

    chyh

    zhuang ..

    chaikeqi..
    回复
    signature

    诚信 敬业 博学 奉献

    wangjw855 离线

    帖子:1618
    粉蓝豆:209
    经验:2515
    注册时间:2009-05-16
    加关注  |  发消息
    5 楼    发表于2023-11-18 23:45:38举报|引用
    返回顶部 | 快捷回复

     腺体浸润性生长,有的腺体已没有腺腔结构了,够癌了。早癌诊断要看癌细胞与粘膜肌的关系(活检要求立埋横切),在粘膜肌上就是粘内癌,突破粘膜肌直接报癌即可。

    活检没立埋就结合内镜判定深度吧。

    0
    回复
    回复:5 阅读:554
    共1页/5条首页上一页1下一页尾页
    【免责声明】讨论内容仅作学术交流之用,不作为诊疗依据,由此而引起的法律问题作者及本站不承担任何责任。
    快速回复
    进入高级回复
    您最多可输入10000个汉字,按 "Ctrl" + "Enter" 直接发送
    搜索回复/乘电梯 ×
    按内容
    按会员
    乘电梯
    合作伙伴
    友情链接
    Baidu
    map