共1页/5条首页上一页1下一页尾页
回复:8 阅读:545
鼻咽肿物

yz366121016 离线

帖子:6
粉蓝豆:51
经验:7
注册时间:2018-01-08
加关注  |  发消息
楼主 发表于 2023-11-26 16:49|举报|关注(0)
浏览排序[ 顺序 逆序 楼主 支持 精彩 ]  快捷回复
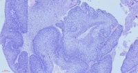
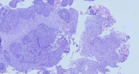
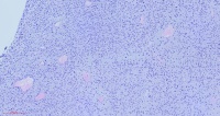
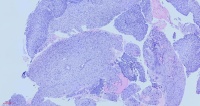
性别年龄59岁临床诊断鼻咽肿物真菌性鼻窦炎
一般病史CT:双侧咽隐窝及咽鼓管开口无变窄,咽鼓管隆突未见增厚,双侧咽旁间隙清晰。左上颌窦内见结节状软组密度影,大小约3.7cm×3.7cm,增强扫扫描呈欠均匀强化,邻近左上颌窦壁见骨质吸收、破坏,部分骨质增厚且密度增高呈骨质硬化改变;左上颌窦内软组织密度影,考虑低度恶性肿瘤与真菌性鼻窦炎鉴别,建议活检;
标本名称鼻腔病损
大体所见灰黄碎组织,质中
免疫组化结果: MDM2(-),CDK4(-),Ki67约60%(+),CD34(-),S100(-),SATB2(+),SMA(-),Desmin(-),P40(上皮+),EGFR(上皮+),CK(上皮+),EMA(上皮+),Vimentin(+)。
  • 图1
  • 图2
  • 图3
  • 图4
  • 图5
  • 图6
  • 图7
  • 图8
  • 图9
  • 图10
    标签:
    0
    添加参考诊断
    ×参考诊断
      

    杨成华 离线

    帖子:6273
    粉蓝豆:261
    经验:7141
    注册时间:2014-12-16
    加关注  |  发消息
    1 楼    发表于2023-11-27 08:31:44举报|引用
    返回顶部 | 快捷回复

    癌,没问题。 

    1

    zhuang ..
    收起回复

    qhl1242 离线

    帖子:630
    粉蓝豆:119
    经验:1387
    注册时间:2009-05-21
    加关注  |  发消息
    2 楼    发表于2023-11-27 08:56:54举报|引用
    返回顶部 | 快捷回复

     免疫组化发上来看看 具体哪里阳啊

    0
    收起回复
    • yz366121016:  没啥特别就没传了,梭形细胞就SATB2,VIM阳
      来自Android 2023-11-27 10:14

    yz366121016 离线

    帖子:6
    粉蓝豆:51
    经验:7
    注册时间:2018-01-08
    加关注  |  发消息
    3 楼    发表于2023-11-27 10:12:16举报|引用
    来自Android 返回顶部 | 快捷回复
    单(-),(+)均为梭形细胞
    0
    回复

    whyang315 离线

    帖子:7355
    粉蓝豆:416
    经验:8980
    注册时间:2014-05-04
    加关注  |  发消息
    4 楼    发表于2023-11-27 13:48:18举报|引用
    返回顶部 | 快捷回复

     考虑:鼻咽癌(鳞癌)

    1

    lanyue
    收起回复

    蝴蝶兰dali2003 离线

    帖子:11538
    粉蓝豆:2442
    经验:12103
    注册时间:2009-09-06
    加关注  |  发消息
    5 楼    发表于2023-12-09 21:05:18举报|引用
    返回顶部 | 快捷回复

     鳞癌,非角化型。

    0
    回复
    signature
    相逢是首歌,同行是你和我。
    回复:8 阅读:545
    共1页/5条首页上一页1下一页尾页
    【免责声明】讨论内容仅作学术交流之用,不作为诊疗依据,由此而引起的法律问题作者及本站不承担任何责任。
    快速回复
    进入高级回复
    您最多可输入10000个汉字,按 "Ctrl" + "Enter" 直接发送
    搜索回复/乘电梯 ×
    按内容
    按会员
    乘电梯
    合作伙伴
    友情链接
    Baidu
    map