共1页/5条首页上一页1下一页尾页
回复:5 阅读:361
直肠息肉,0.6厘米,神经内分泌瘤?

小城病理医师 离线

帖子:514
粉蓝豆:14
经验:3508
注册时间:2015-12-13
加关注  |  发消息
楼主 发表于 2024-01-14 15:17|举报|关注(0)
浏览排序[ 顺序 逆序 楼主 支持 精彩 ]  快捷回复
性别年龄51岁临床诊断直肠息肉
一般病史距肛缘4厘米见无蒂息肉大小约0.6厘米,表面光滑,色发黄,取病理一块
标本名称直肠息肉活检
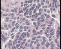
大体所见0.25x0.15x0.15厘米 。瘤细胞小圆形、卵圆形、短梭型,腺样,巢状排列,报神经内分泌瘤,免疫组化确诊吗?
  • 图1
  • 图2
  • 图3
  • 图4
  • 图5
  • 图6
  • 图7
  • 图8
  • 图9
    标签:
    0
    添加参考诊断
    ×参考诊断
      

    雾蒙蒙 离线

    帖子:30611
    粉蓝豆:4973
    经验:37324
    注册时间:2011-06-12
    加关注  |  发消息
    1 楼    发表于2024-01-15 08:56:12举报|引用
    返回顶部 | 快捷回复

     神经内分泌肿瘤。

    1

    whyang31..
    回复
    signature

    诚信 敬业 博学 奉献

    lanyue 在线

    帖子:8323
    粉蓝豆:1626
    经验:15630
    注册时间:2014-03-29
    加关注  |  发消息
    2 楼    发表于2024-01-15 11:20:24举报|引用
    返回顶部 | 快捷回复

     还是标记一下,有腺样结构

    0
    回复

    zhuang xia nan 离线

    帖子:665
    粉蓝豆:1363
    经验:749
    注册时间:2015-12-22
    加关注  |  发消息
    3 楼    发表于2024-01-15 14:36:48举报|引用
    返回顶部 | 快捷回复

     神经内分泌肿瘤。建议免疫组化进一步明确。

    0
    回复

    蝴蝶兰dali2003 离线

    帖子:11555
    粉蓝豆:2442
    经验:12120
    注册时间:2009-09-06
    加关注  |  发消息
    4 楼    发表于2024-01-15 21:52:33举报|引用
    返回顶部 | 快捷回复

     神经内分泌肿瘤,建议做免疫组化协助鉴别及分级。

    0
    回复
    signature
    相逢是首歌,同行是你和我。

    Junlan 离线

    帖子:4
    粉蓝豆:20
    经验:4
    注册时间:2023-04-23
    加关注  |  发消息
    5 楼    发表于2024-01-16 08:28:50举报|引用
    来自iPhone 返回顶部 | 快捷回复
    神经内分泌肿瘤
    0
    回复
    回复:5 阅读:361
    共1页/5条首页上一页1下一页尾页
    【免责声明】讨论内容仅作学术交流之用,不作为诊疗依据,由此而引起的法律问题作者及本站不承担任何责任。
    快速回复
    进入高级回复
    您最多可输入10000个汉字,按 "Ctrl" + "Enter" 直接发送
    搜索回复/乘电梯 ×
    按内容
    按会员
    乘电梯
    合作伙伴
    友情链接
    Baidu
    map