共1页/4条首页上一页1下一页尾页
回复:4 阅读:353
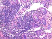
横结肠息肉

freexiaohouer2 离线

帖子:809
粉蓝豆:177
经验:814
注册时间:2015-06-11
加关注  |  发消息
楼主 发表于 2024-10-31 19:05|举报|关注(0)
浏览排序[ 顺序 逆序 楼主 支持 精彩 ]  快捷回复
性别年龄56临床诊断
一般病史体检
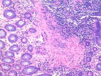
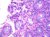
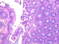
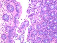
标本名称横结肠息肉
大体所见灰白2粒
  • 图1
  • 图2
  • 图3
  • 图4
  • 图5
    标签:
    0
    添加参考诊断
    ×参考诊断
      

    lihuamei 离线

    帖子:91
    粉蓝豆:53
    经验:161
    注册时间:2012-02-01
    加关注  |  发消息
    1 楼    发表于2024-11-01 10:44:38举报|引用
    来自Android 返回顶部 | 快捷回复
    连切看看
    0
    回复
    signature
    努力学习

    雾蒙蒙 离线

    帖子:30591
    粉蓝豆:4943
    经验:37219
    注册时间:2011-06-12
    加关注  |  发消息
    2 楼    发表于2024-11-01 17:00:08举报|引用
    返回顶部 | 快捷回复

     肠粘膜息肉。

    0
    回复
    signature

    诚信 敬业 博学 奉献

    蝴蝶兰dali2003 离线

    帖子:11509
    粉蓝豆:2442
    经验:12074
    注册时间:2009-09-06
    加关注  |  发消息
    3 楼    发表于2024-11-02 20:22:22举报|引用
    返回顶部 | 快捷回复

     小灶区域腺上皮有异型,重切一张再看看。

    1

    abin
    回复
    signature
    相逢是首歌,同行是你和我。

    abin 离线

    帖子:7416
    粉蓝豆:6014
    经验:11787
    注册时间:2006-10-08
    加关注  |  发消息
    4 楼    发表于2024-11-02 21:47:42举报|引用
    返回顶部 | 快捷回复

     表面黏膜上皮有很少异型细胞。间质中一团上皮样细胞性质不明,没有明显异型性。可描述发报告。

    1

    medman_2..
    回复
    signature

    粉蓝医疗科技(杭州)有限公司/粉蓝医疗

    为基层医院病理科提供全面解决方案,

    努力让人人享有便捷准确可靠的病理诊断服务。


    回复:4 阅读:353
    共1页/4条首页上一页1下一页尾页
    【免责声明】讨论内容仅作学术交流之用,不作为诊疗依据,由此而引起的法律问题作者及本站不承担任何责任。
    快速回复
    进入高级回复
    您最多可输入10000个汉字,按 "Ctrl" + "Enter" 直接发送
    搜索回复/乘电梯 ×
    按内容
    按会员
    乘电梯
    合作伙伴
    友情链接
    Baidu
    map