共1页/12条首页上一页1下一页尾页
回复:12 阅读:2770
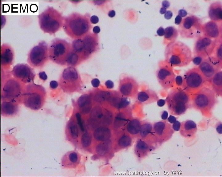
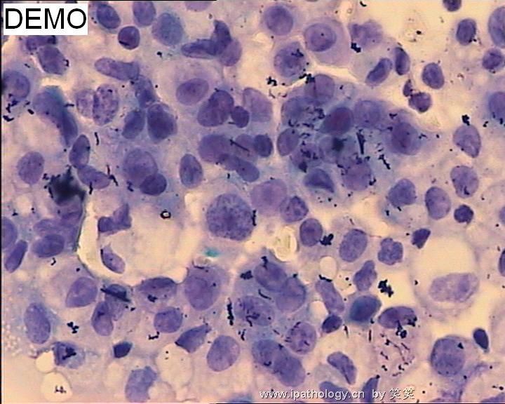
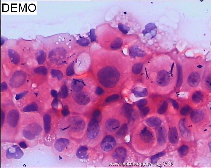
20081651,男,50岁,胸水,临床诊断胆管癌

笑笑 离线

帖子:67
粉蓝豆:1
经验:185
注册时间:2007-08-10
加关注  |  发消息
楼主 发表于 2008-04-02 21:46|举报|关注(0)
浏览排序[ 顺序 逆序 楼主 支持 精彩 ]  快捷回复

HE染色

 

  • 20081651,男,50岁,胸水,临床诊断胆管癌图1
    图1
  • 20081651,男,50岁,胸水,临床诊断胆管癌图2
    图2
  • 20081651,男,50岁,胸水,临床诊断胆管癌图3
    图3
  • 20081651,男,50岁,胸水,临床诊断胆管癌图4
    图4
  • 20081651,男,50岁,胸水,临床诊断胆管癌图5
    图5
  • 20081651,男,50岁,胸水,临床诊断胆管癌图6
    图6
  • 20081651,男,50岁,胸水,临床诊断胆管癌图7
    图7
  • 20081651,男,50岁,胸水,临床诊断胆管癌图8
    图8
  • 20081651,男,50岁,胸水,临床诊断胆管癌图9
    图9
  • 20081651,男,50岁,胸水,临床诊断胆管癌图10
    图10
标签:
0
添加参考诊断
×参考诊断
  

笑笑 离线

帖子:67
粉蓝豆:1
经验:185
注册时间:2007-08-10
加关注  |  发消息
1 楼    发表于2008-04-02 21:48:00举报|引用
返回顶部 | 快捷回复
巴氏染色
  • 图1
  • 图2
  • 图3
  • 图4
  • 图5
  • 图6
  • 图7
  • 图8
  • 图9
  • 图10
0
回复

笑笑 离线

帖子:67
粉蓝豆:1
经验:185
注册时间:2007-08-10
加关注  |  发消息
2 楼    发表于2008-04-02 21:49:00举报|引用
返回顶部 | 快捷回复
瑞姬染色
  • 图1
  • 图2
  • 图3
  • 图4
  • 图5
  • 图6
  • 图7
  • 图8
  • 图9
  • 图10
0
回复

江边观潮人 离线

帖子:2684
粉蓝豆:524
经验:3338
注册时间:2006-11-12
加关注  |  发消息
3 楼    发表于2008-04-04 18:58:00举报|引用
返回顶部 | 快捷回复
 腺癌细胞。
0
回复
signature

华夏

197 离线

帖子:4781
粉蓝豆:803
经验:5032
注册时间:2006-09-12
加关注  |  发消息
4 楼    发表于2008-04-04 19:29:00举报|引用
返回顶部 | 快捷回复
 腺癌
0
回复
signature
“人生没有彩排,每一天都是现场直播”

小荷 离线

帖子:8546
粉蓝豆:97
经验:12725
注册时间:2006-09-11
加关注  |  发消息
5 楼    发表于2008-04-04 19:36:00举报|引用
返回顶部 | 快捷回复
 楼主您可真厉害,国内国际都接轨啊
0
回复
signature
没有完美的个人,只有完美的团队

笑笑 离线

帖子:67
粉蓝豆:1
经验:185
注册时间:2007-08-10
加关注  |  发消息
6 楼    发表于2008-04-04 21:43:00举报|引用
返回顶部 | 快捷回复
 小荷老师见笑了
0
回复

天山望月 离线

帖子:4902
粉蓝豆:83
经验:5092
注册时间:2007-02-03
加关注  |  发消息
7 楼    发表于2008-04-06 01:31:00举报|引用
返回顶部 | 快捷回复

 看见“笑笑”,我们都开心的笑!

典型的腺癌。

0
回复
signature
广州金域病理

江边观潮人 离线

帖子:2684
粉蓝豆:524
经验:3338
注册时间:2006-11-12
加关注  |  发消息
8 楼    发表于2008-04-06 12:49:00举报|引用
返回顶部 | 快捷回复
以下是引用笑笑在2008-4-4 21:43:00的发言:

 小荷老师见笑了

嗯,小荷老师见"笑笑"了!

 

0
回复
signature

华夏

baicai 离线

帖子:392
粉蓝豆:156
经验:407
注册时间:2006-10-19
加关注  |  发消息
9 楼    发表于2008-04-07 20:01:00举报|引用
返回顶部 | 快捷回复

不错

0
回复

浪漫主义 离线

帖子:918
粉蓝豆:270
经验:1562
注册时间:2007-01-15
加关注  |  发消息
10 楼    发表于2008-04-18 23:33:00举报|引用
返回顶部 | 快捷回复
 腺癌。
0
回复
signature
风雨兼程

jcw62 离线

帖子:2267
粉蓝豆:468
经验:4978
注册时间:2009-05-23
加关注  |  发消息
11 楼    发表于2013-01-14 22:28:56举报|引用
返回顶部 | 快捷回复

 腺癌。

0
回复

junzi003981 离线

帖子:1469
粉蓝豆:234
经验:3249
注册时间:2008-09-07
加关注  |  发消息
12 楼    发表于2013-01-14 23:31:53举报|引用
返回顶部 | 快捷回复

 腺癌


0
回复
signature
为人类医疗事业贡献一生
回复:12 阅读:2770
共1页/12条首页上一页1下一页尾页
【免责声明】讨论内容仅作学术交流之用,不作为诊疗依据,由此而引起的法律问题作者及本站不承担任何责任。
快速回复
进入高级回复
您最多可输入10000个汉字,按 "Ctrl" + "Enter" 直接发送
搜索回复/乘电梯 ×
按内容
按会员
乘电梯
合作伙伴
友情链接
Baidu
map