共1页/5条首页上一页1下一页尾页
回复:5 阅读:3416
骨髓细胞4

天山望月 离线

帖子:4902
粉蓝豆:83
经验:5092
注册时间:2007-02-03
加关注  |  发消息
楼主 发表于 2008-07-12 22:19|举报|关注(0)
浏览排序[ 顺序 逆序 楼主 支持 精彩 ]  快捷回复

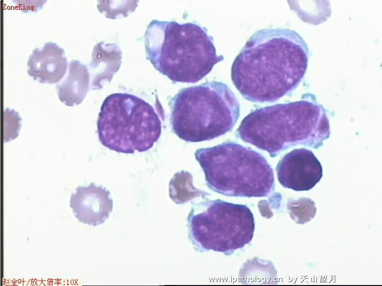
女,37岁,间断性心悸、乏力、头晕8年余,既往有低血压史。近一周出现低热,头晕,血常规:HB 61,  RBC  1.67,  WBC 2.2,  PLT 26,  分类可见幼稚细胞。图3、4为POX染色。

  • 骨髓细胞4图1
    图1
  • 骨髓细胞4图2
    图2
  • 骨髓细胞4图3
    图3
  • 骨髓细胞4图4
    图4
  • 骨髓细胞4图5
    图5
  • 骨髓细胞4图6
    图6
  • 骨髓细胞4图7
    图7
  • 骨髓细胞4图8
    图8
  • 骨髓细胞4图9
    图9
  • 骨髓细胞4图10
    图10
  • 骨髓细胞4图11
    图11
  • 骨髓细胞4图12
    图12
  • 骨髓细胞4图13
    图13
  • 骨髓细胞4图14
    图14
标签:
本帖最后由 于 2008-07-12 22:21:00 编辑
0
signature
广州金域病理
添加参考诊断
×参考诊断
  

huturen3 离线

帖子:162
粉蓝豆:2
经验:389
注册时间:2008-01-07
加关注  |  发消息
1 楼    发表于2008-07-13 16:57:00举报|引用
返回顶部 | 快捷回复
 M4(粒单)
1

包子不是..
回复

天山望月 离线

帖子:4902
粉蓝豆:83
经验:5092
注册时间:2007-02-03
加关注  |  发消息
2 楼    发表于2008-07-13 22:38:00举报|引用
返回顶部 | 快捷回复
  huturen3 老师,请您讲解一下,好吗?
0
回复
signature
广州金域病理

海燕 离线

帖子:303
粉蓝豆:41
经验:303
注册时间:2008-07-17
加关注  |  发消息
3 楼    发表于2008-07-18 21:00:00举报|引用
返回顶部 | 快捷回复

 做染色体检查了吗?

提示t(8;21);

细胞大小不等,形状不规则,浆蓝色,可见颗粒和Auer小体(细长),核旁可见淡染区;核形不规则,可见扭曲、折叠、凹陷,染色质疏松细致,可见核仁!

0
回复
signature

我一路向您走来——

天山望月 离线

帖子:4902
粉蓝豆:83
经验:5092
注册时间:2007-02-03
加关注  |  发消息
4 楼    发表于2008-07-18 22:41:00举报|引用
返回顶部 | 快捷回复

没做染色体检查。病人在我们省肿瘤医院做了组化确定的。

0
回复
signature
广州金域病理

风的影子 离线

帖子:4277
粉蓝豆:3125
经验:8142
注册时间:2006-10-18
加关注  |  发消息
5 楼    发表于2008-07-19 11:07:00举报|引用
返回顶部 | 快捷回复
以下是引用天山望月在2008-7-13 22:38:00的发言:

  huturen3 老师,请您讲解一下,好吗?

0
回复
回复:5 阅读:3416
共1页/5条首页上一页1下一页尾页
【免责声明】讨论内容仅作学术交流之用,不作为诊疗依据,由此而引起的法律问题作者及本站不承担任何责任。
快速回复
进入高级回复
您最多可输入10000个汉字,按 "Ctrl" + "Enter" 直接发送
搜索回复/乘电梯 ×
按内容
按会员
乘电梯
合作伙伴
友情链接
Baidu
map