共1页/9条首页上一页1下一页尾页
回复:9 阅读:3493
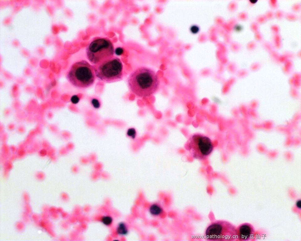
男;78岁,胸闷气短2月。胸水150ml

花仙子 离线

帖子:121
粉蓝豆:2
经验:121
注册时间:2006-11-08
加关注  |  发消息
楼主 发表于 2007-01-25 19:32|举报|关注(1)
浏览排序[ 顺序 逆序 楼主 支持 精彩 ]  快捷回复
男;78岁,胸闷气短2月。胸水150ml
  • 男;78岁,胸闷气短2月。胸水150ml图1
    图1
  • 男;78岁,胸闷气短2月。胸水150ml图2
    图2
  • 男;78岁,胸闷气短2月。胸水150ml图3
    图3
  • 男;78岁,胸闷气短2月。胸水150ml图4
    图4
  • 男;78岁,胸闷气短2月。胸水150ml图5
    图5
  • 男;78岁,胸闷气短2月。胸水150ml图6
    图6
  • 男;78岁,胸闷气短2月。胸水150ml图7
    图7
标签:
本帖最后由 于 2007-01-25 19:33:00 编辑
0
添加参考诊断
×参考诊断
  

dingwei 离线

帖子:938
粉蓝豆:1062
经验:1175
注册时间:2006-09-25
加关注  |  发消息
1 楼    发表于2007-01-25 19:44:00举报|引用
返回顶部 | 快捷回复
 腺癌
0
回复
signature
本人观点纯属个人偏见,希望大家独立判断,正确引用!中华病理技术网:http://www.zhbljs.com/

baicai 离线

帖子:392
粉蓝豆:156
经验:407
注册时间:2006-10-19
加关注  |  发消息
2 楼    发表于2007-01-25 19:52:00举报|引用
返回顶部 | 快捷回复
以下是引用dingwei 在2007-1-25 19:44:00的发言:

 腺癌

0
回复

abin 离线

帖子:7416
粉蓝豆:6019
经验:11787
注册时间:2006-10-08
加关注  |  发消息
3 楼    发表于2007-01-25 19:57:00举报|引用
返回顶部 | 快捷回复
 
1

东方红叶
回复
signature

粉蓝医疗科技(杭州)有限公司/粉蓝医疗

为基层医院病理科提供全面解决方案,

努力让人人享有便捷准确可靠的病理诊断服务。


雁南飞 离线

帖子:13
粉蓝豆:1
经验:13
注册时间:2007-01-23
加关注  |  发消息
4 楼    发表于2007-01-25 22:18:00举报|引用
返回顶部 | 快捷回复
 像间皮细胞,有点异性,能直接报腺癌吗,请老师指点
0
回复

dingwei 离线

帖子:938
粉蓝豆:1062
经验:1175
注册时间:2006-09-25
加关注  |  发消息
5 楼    发表于2007-01-26 08:23:00举报|引用
返回顶部 | 快捷回复

 与间皮细胞区别:

核大,核浆比失调,核仁大而明显,核有皱折。间皮细胞增生时尽管核会增大,但核浆比还在正常范围,核仁有但不大,核形较圆,染色质均匀,核膜不厚。

核偏位,一般是腺癌的特征,间皮细胞也会出现核偏位,但并不多见。以前我们常说间皮细胞裉变成印戒样,其实都不是间皮细胞而是组织细胞。

1

东方红叶
回复
signature
本人观点纯属个人偏见,希望大家独立判断,正确引用!中华病理技术网:http://www.zhbljs.com/

party 离线

帖子:92
粉蓝豆:2
经验:92
注册时间:2006-11-28
加关注  |  发消息
6 楼    发表于2007-01-27 19:00:00举报|引用
返回顶部 | 快捷回复

谢谢!学习!

1

东方红叶
回复

ren 离线

帖子:175
粉蓝豆:1514
经验:202
注册时间:2006-09-26
加关注  |  发消息
7 楼    发表于2007-01-27 19:52:00举报|引用
返回顶部 | 快捷回复
 丁伟老师的解释很到位,收获很大
0
回复

雁南飞 离线

帖子:13
粉蓝豆:1
经验:13
注册时间:2007-01-23
加关注  |  发消息
8 楼    发表于2007-01-30 22:17:00举报|引用
返回顶部 | 快捷回复
 谢谢dingwei老师!
1

丫头smal..
回复

雪莲 离线

帖子:370
粉蓝豆:5
经验:370
注册时间:2006-09-27
加关注  |  发消息
9 楼    发表于2007-02-04 12:08:00举报|引用
返回顶部 | 快捷回复
以下是引用dingwei 在2007-1-26 8:23:00的发言:

 与间皮细胞区别:

核大,核浆比失调,核仁大而明显,核有皱折。间皮细胞增生时尽管核会增大,但核浆比还在正常范围,核仁有但不大,核形较圆,染色质均匀,核膜不厚。

核偏位,一般是腺癌的特征,间皮细胞也会出现核偏位,但并不多见。以前我们常说间皮细胞裉变成印戒样,其实都不是间皮细胞而是组织细胞。

谢谢!学习了!
0
回复
回复:9 阅读:3493
共1页/9条首页上一页1下一页尾页
【免责声明】讨论内容仅作学术交流之用,不作为诊疗依据,由此而引起的法律问题作者及本站不承担任何责任。
快速回复
进入高级回复
您最多可输入10000个汉字,按 "Ctrl" + "Enter" 直接发送
搜索回复/乘电梯 ×
按内容
按会员
乘电梯
合作伙伴
友情链接
Baidu
map